The paper describes the results of a study of volume-surface concentric zonal color effects in gyro ceramic materials. The dependence of zonal flowers on the phase composition is established by the Mossbauer effects method.
Keywords: Mossbauer, Spectrum, Zoloceramic, Materials, Hyperfine, Structure.
Received: 20 March 2018 / Revised: 10 May 2018 / Accepted: 14 May 2018 / Published: 17 May 2018
The work is devoted to Mossbauer studies of wastes from coal-fired power plants. These products, according to their physical and mechanical properties are 1.5 to 4 times superior to traditional materials from clays. The paper's primary contribution is finding that Mossbauer research of surface-surface concentric-zonal color effects in zoloceramic materials.
In the production of the ceramic materials, used both in construction and in everyday life, one of the fundamental factors that predetermine the aesthetic-consumer properties is their whiteness and color, which makes it possible to create a wide variety of color compositions (Belenky, 1974 ; Mukhopadhyay et al., 1995 ; Zubehin et al., 2008 ).
Intensive staining of ceramics in the presence of non-silicate iron in clays is due to condensed iron-containing phases, such as hematite α-Fe2O3 (reddish-pink, red-brown and brown), magnetite Fe3O4 (brown to black) and various ferrites (Vereshch et al., 1974 ; Yatsenko et al., 1998 ; Yatsenko, 2015 ; Vil'bitskaya, n.d ).
The objects of the research were new gyro ceramic examples - tiles based on ash TPP and monothermical clay.
To obtain a raw mixture of polycrystalline ashceramic tiles, consisting of 70% (mass) of ash from TESs with a residual fuel content of 8-9% and 30% of moderate plastic thin ground monotermical clay as a dry powder, mixed carefully in a mixer. The beam was formed on a strip press in such form of a cylinder with size d = 50 mm, h = mm, after which the samples were dried at 100-110 ° C, and then fired in an oxidizing medium by forced high-speed conditions: rising of temperature 950 ° C with a speed of 20 ° C / min; hold at this maximum temperature for 60 min. The total duration of the firing cycle was 107 minutes.
The baked beam was cut by abrasive circles across, accordingly the required thickness of the tiles (10-15 mm). The chemical composition of the using ash is shown in Table 1.
Table-1. The chemical composition of the using ash.
Source: Research was done by the X-ray diffract meter DRON-7 in the Institute of Nuclear Physics
The surface of the obtained tiles along the entire depth of the volume has a polycrystalline zonal color, which is formed in association with the creation at roasting on the proposed mode in the different layers of the beam - sample of the necessary temperature and gas modes, providing different degrees of combustion of residual carbon of ash and oxidation of iron.
The colored concentric zones on the surface of the tiles in cross section are situated as follows: in the middle part a gray circle with a diameter of 33 mm, which is surrounded by a thin strip yellow color (2.5 mm), around it is a strip (3 mm) of violet-red color, outside of the surface of the tile is painted in a light brown (cream) color, the width of which is 3 mm. (Fig. 1)
Fig-1. Painting of colored concentric zones on the surface of tiles in a cross-section
Source: X-ray fluorescence analysis (XRF) was done on the RLP-21 installation in the Institute of Nuclear Physics
From the corresponding zones of different colors samples were cut, the samples were exposed to nuclear gamma resonance spectroscopy (NGRS) and atomic force microscopy.
As is known, iron in the samples can contain both Fe3+ and Fe2+ (Chemical, 1970 ). In the spectra of samples of compounds iron can appeared as the magnetite (Fe3O4), mullite (3Al2O3 • 2SiO2), ε-wollastonite (β-Сa3Si3O9), anorthite (СaO • Al2O3 • 2SiO2), fayalite (Fe2SiO4), hematite (Fe2O3), solid aqueous of a different phase, also as the ferrites (Chemical, 1970 ; Neither et al., 1974 ; Vereshch et al., 1974 ; Yatsenko, 2015 ).
The Mossbauer’s investigations were carried out on device MC1104EM in mode with a constant acceleration for absorption. The source was 57Co in the matrix of chromium . The spectra were taken at room temperature. The isomeric shifts of the Mossbauer spectra were determined with relation to α-iron.
Mossbauer research of samples on the nucleus of 57Fe have shown that the spectra have a complex form. They consist of a superposition of several doublets and sextets having different parameters. We have used special computer programs for their decoding. In addition, these spectra were compared for identification with the control spectra of the known components.
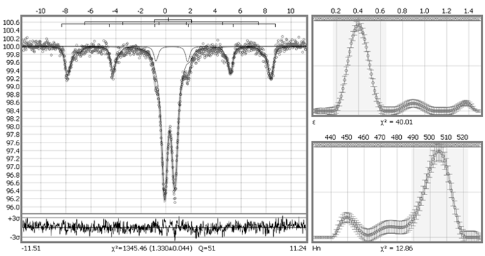
The spectrum of Mossbauer of the central part of the sample has a broadened asymmetric quadrupole doublet. Computer processing made it possible to determine that it decomposes into four quadrupole doublets (Fig. 2).
Fig-2. Spectrum of Mossbauer of the central part of the sample
Source: Research was done by the Mossbauer spectrometer MC1104EM in the Institute of Nuclear Physics
Table 2 shows the hyperfine structure of the Mossbauer spectrum
Table-2. The hyperfine structure of the Mossbauer spectrum.
Source: Research was done by the Mossbauer spectrometer MC1104EM in the Institute of Nuclear Physics
It can be seen from Table 2 that the Mössbauer spectrum of the sample does not have a magnetic structure. It consists of four diamagnetic components having different phase states. Each of them is characterized by a separate hyperfine structure (Table 2). These components, possibly, characterize oxides containing in the composition of ferric and ferrous iron in different concentrations (Chemical, 1970 ). The superposition of these components probably colored of the central part of the circular sample to a yellowish-brown (gray) color.
The second layer of the sample has a complex hyperfine structure. The parameters of the Mossbauer spectra of the sample have substantially changed. The spectrum of this layer differs greatly from the spectrum of the central layer, computer processing has shown that it consists of three quadrupole doublets and two sextets (Fig. 3). Quadrupole doublets have a different parameters.
Fig-3. Mossbauer spectrum of the second layer of the sample.
Source: Research was done by the Mossbauer spectrometer MC1104Em in the Institute of Nuclear Physics
The Mossbauer parameters of the hyperfine structure are shown in Table 3.
Table-3. The hyperfine structure of the Mossbauer spectrum.
№ п/п |
Isomeric shift, δ, mm/s. |
Quadrupole splitting, ε, mm/s. |
Magnetic splitting Нeff, kE |
The half-width of the line, Г, mm/s |
The share of Fe,% |
1. |
0,3221±0,023 |
0,390±0,004 |
- |
0.541±0,009 |
61,5±1, |
2. |
0,621±
,022 |
0,902±0,040 |
- |
0.541±0,009 |
5,5±1,0 |
3. |
0,8
5±0,014 |
1,271±0,017 |
- |
0,541±0,
09 |
11,1
0,8 |
4. |
0,366±0,007, |
-0,076±0,008 |
494,20±0,70 |
0.351±0,040 |
22,0±0,7 |
Source: Research was done by the Mossbauer spectrometer MC1104EM in the Institute of Nuclear Physics
A comparison of this spectrum with the β-wollastonite (CaSiO3) spectrum containing 1% trivalent iron of the oxide showed their strong similarity. It is known (Chemical, 1970 ; Neither et al., 1974 ; Vereshch et al., 1974 ) in the structure of high calcium ceramics containing a significant amount of glass phase, on a level with anorthite (CaO ∙ Al2O3 ∙ 2SiO2) can crystallize β-wollastonite (CaSiO3) and aluminosilicate, also calcium-containing solid solutions.
As we see, in the structure of a solid solution of β-wollastonite with Fe2O3 content, 3 components of the NGR spectrum are fixed in the form of doublets corresponding to Fe + ions in three crystallographic positions (Table 3). In addition, along with doublets, two more sextets appear in the spectra, which is due to the presence of trivalent iron oxide. The doublets, quadrupole splitting (ε = 0.902 ± 0.040 mm / s, ε = 1.271 ± 0.017 mm / s) correspond to the compounds of bivalent iron, and (ε = 0.390 ± 0.004 mm / s.) to the compounds of trivalent iron. We assume that metacaolinite is formed on the level with β-wollastonite in the test sample.
The solubility of Fe2O3 in metakaolinite (Al2O3 • 2SiO2) is insignificant and amounts to only 5.44% of the total additive Fe2O3. The remaining amount of Fe2O3 remains in the free state in the form of hematite (α-Fe2O3) (Fig. 4).
Fig-4. NGR - metakaolinite spectrum (Al2O3 • 2SiO2) with Fe2O3 content of 1.5% (Zubehin et al., 2008 ).
Source: Research was done by the Mossbauer spectrometer MC1104Em in the Institute of Nuclear Physics
NGR – the spectrum of meta kaolinite (Al2O3 • 2SiO2) with an Fe2O3 content of 1.5% is represented by a sextet and a doublet of Fe3+ ions. The sextet has the following parameters: δ = 0,382mm / s., ε = -0,209 mm / s. Heff = 523.5 kE, G = 0.511 mm / s. As can be seen, the parameters of the sextet correspond to the presence of Fe3+ in hematite α-Fe2O3 in the amount of 94.56% of its content, and 5.44% of Fe3+ in the form [Fe3+O6]9 - enters the structure of metakaolinite, replacing Al3+ in it according to the scheme: [Al3+O6]9- [Fe3+O6]9-
The doublet in the spectrum (δ = 0.341 mm / s, ε = -0.794 mm / s, Г = 0.775 mm / s.), possibly, corresponds to a solid solution (Al2-xFexO3) 2SiO2. These isovalent substitutions in crystallochemical close ions do not cause electronic and crystallographic changes in the structure of the crystalline lattice of mullite (3Al2O3 • 2SiO2), which does not lead to a significant decrease in light absorption and, consequently, to a sharp decrease in the reflection coefficient.
In our case, the appearance of the doublet (δ = 0.3221 mm / s, ε = -0.390 mm / s) is possibly due to the state of ferric iron, which is surrounded by a solid solution of metakaolinite. The combination of these constituents in the sample probably causes the appearance of a yellow color.
In the third layer of the sample in the spectrum, we observe one quadrupole doublet and two sextets (Fig. 5).
Fig-5. Mossbauer spectrum of the third layer of the sample
Source: Research was done by the Mossbauer spectrometer MC1104EM in the Institute of Nuclear Physics
Table 4 shows the values of the Mossbauer hyperfine spectral parameters.
Table-4. The values of the Mossbauer hyperfine spectral parameters.
№ п/п |
Isomeric shift, δ, mm/s. |
Quadrupole splitting, ε, mm/s. |
Magnetic splitting Нeff, kE |
The half-width of the line, Г, mm/s |
The sha e of Fe,% |
Phase state Fe |
1. |
0,311±0,0025 |
0,3890±0,006 |
0,469±0,070 |
46,2±2,5 |
(3Al2-x ∙Fex3+)O3∙∙2SiO2 |
|
2. |
0,370±0,0021 |
-0,370±0,0021 |
430,00 |
0,240±0,016 |
16,0±0,5 |
Fe2SiO4 |
3. |
0,3684±0,0022 |
-0,1040±0,0022 |
489,60 |
0,240±0,016 |
38,0±0,7 |
Fe2O3 |
Source: Research was done by the Mossbauer spectrometer MC1104EM in the Institute of Nuclear Physics
The intensity of the doublet in this spectrum is less than the intensity of the lines of the first doublet on the second layer. Their hyperfine parameters are close to each other. It can be asserted that these doublets are connected, with states of iron atoms, located in the same positions, corresponding to ions of bivalent iron. On the level with the doublet, we observe two sextets with similar isomeric shifts, which differ in the values of quadrupole doublets ε and effective magnetic fields Нeff. on the 57Fe nuclei. Comparison of this spectrum with the spectrum of mullite (3Al2O3·2SiO2) showed their strong external similarity. Studies of MOSSBAUER spectroscopy data obtained crystal-chemical state of the ions Fе3+ and Fe2+ in the mullite synthesized by sintering at 1350 оС with the addition of 1.5% Fe2O3, the spectra of which is shown in Fig (Yatsenko, 2015 ).
Fig-6. MRI spectrum of the mullite (3Al2O3·2SiO2) with a content of 1.5% Fe2O3.
Source: Research was done by the Mossbauer spectrometer MC1104EM in the Institute of Nuclear Physics
In the spectrum of mullite (3Al2O3·2SiO2+1,5% Fe2O3,), there are four sextets and one doublet.
Their hyperfine parameters are given in Table 5.
Table-5. The hyperfine structure of the Mossbauer spectrum.
Type of the spectrum |
δ, mm/s. |
ε, mm/s. |
Г, mm/s |
Нeff, kE |
Crystal graphics position Fe |
The share o Fe,% |
Phase state Fe |
sextet 1 |
0,362 |
-0,187 |
0,647 |
504,5 |
[Fe3+O6]9 |
39,30 |
α-Fe2O3 |
sextet 2 |
0,211 |
-0,429 |
0,776 |
251,8 |
Fe3+ |
10,75 |
Fe3O4 |
sextet 3 |
0,319 |
0,200 |
0,776 |
351,3 |
Fe2+ |
8,70 |
Fe3O4 |
sextet 4 |
0,350 |
-0,200 |
0,776 |
415,0 |
[Fe2+O6]10 |
12,42 |
Fe2SiO4 |
Doublet 1 |
0,303
|
0,828 |
0,776
|
-
|
[Fe3+O6]9- |
36,99
|
(3Al2-x ∙Fex3+)O3∙
∙2SiO2 |
Source: Research was done by the Mossbauer spectrometer MC1104EM in the Institute of Nuclear Physics
As can be seen from table 5 39,3% of Fe is in the trivalent state in the form of α- Fe2O3, 10.75% of Fe in the composition of magnetite Fe3О4 and 36,99% of Fe in the solid solution of mullite, as the firing was carried out in an oxidizing environment. In the formation of solid solution of mullite (3Al2O3·2SiO2:Fe) most likely isovalent substitution of Al3+ ions for Fe3+ in its structure in the form of tetrahedra and octahedra according to the schemes:[AlO4]5→ [FeO4]5 и [AlO6]9→ [FeO6]9-.
This character of isomorphism and formation of the solid solution does not lead to deformation of the crystal lattice and electronic defect structure of mullite(3Al2O3·2SiO2) and does not cause a sharp light absorption and the reduction of the reflection coefficient.
However, of 21.12% of iron is in the divalent state in the composition of magnetite Fe2O4 - 8.70% and in the composition of the fayalite Fe2SiO4 -12,42%. The formation of Fe2+ in FeO is due to the thermal dissociation of Fe2O3.
Fe2+ ions formed as a result of thermal dissociation at t˃800˚С, react with Fe2O3, forming magnetite Fe3O4:
Moreover, when interacting with [SiO4]4 - FеО forms fayalite (Fe2SiO4), which is confirmed by MOSSBAUER spectroscopy (Chemical, 1970 ; Neither et al., 1974 ; Vereshch et al., 1974 ).
Therefore, in the synthesis of mullite (3Al2O3·2SiO2) in the solid phase processes, the presence of unreacted hematite α- Fe2O3 containing of purple-brown color and the formation of magnetite Fе3О4 with black color, and fayalite lead to strong light absorption and thereby reduction of the reflectance and whiteness of mullite.
The results of x-ray phase analysis confirmed the validity of the proposed mechanism of the effect of Fe2O3 on the structure of mullite (3Al2O3·2SiO2) solid-phase sintering (Yatsenko, 2015 ).
Received our mossbauer studies confirm these data. A very important are such studies for the aluminosilicate calcium – anortite (CaO·Al2O3·2SiO2), one of the main crystalline phases in the structure of various ceramic materials and products, including rough wall ceramics based on clays with a high content of impurities or specifically the additives CaCO3 to provide the required exploitation properties.
It is known (Chemical, 1970 ; Neither et al., 1974 ; Vereshch et al., 1974 ) the basis of the feldspar structure, including the anortite, is a framework of interconnected layers of tetrahedrons [SiO4]4-and [AlO4]5 through the summit.
Study by mossbauer spectroscopy of the effect of oxides of Fe2O3 on the phase and crystal-chemical state Fe3+ ions taking into account the particular structure of anortite confirmed the above views about the mechanism of formation of iron solid solution (figure 7).
Fig-7. MOSSBAUER spectra of anortite (CaO·Al2O3·2SiO2) containing Fe2O3, % by mass: 3.0
Source: Research was done by the Mossbauer spectrometer MC1104EM in the Institute of Nuclear Physics
Analysis of the Mossbauer spectra (Fig.7) and their parameters confirm the presence in samples of anortite (CaO·Al2O3·2SiO2), both of 0.5% and 3.0% Fe2O3 4 non-equivalent Fe3+ component ions in their structure (table 6). This is sextet with parameters AGRS, including the magnetic field tensions, Heff=510,8; 512,0 кЭ indicating the presence and magneto-ordered phase of α- Fe2O3. This proves that even when the content of Fe2O3 = 0.5% iron ions Fe3+ is not completely included in the structure of anortite (CaO·Al2O3·2SiO2), and the solubility of the Fe2O3 in the anortite is 0.75 – 0.78 % by weight.
Table-6. The hyperfine structure of the Mossbauer spectrum.
The amount of Fe2O3, % |
Type of the spectrum |
δ, mm/s. |
ε, mm/s. |
Г, mm/s |
Нeff, kE |
Crystal graphics position Fe |
The shar of Fe,% |
Phase state Fe |
0,3 |
Sextet |
0,33 |
-0,13 |
0,52 |
512,0 |
[FeО6]9- |
21,79 |
Fe2O3 |
0,3 |
Doublet 1 |
0,18 |
1,28 |
0,77 |
- |
[AlО4]5- |
36,44 |
СS2A2O8:F |
0,3 |
Doublet 2 |
0,42 |
1,11 |
0,57 |
- |
[Si О4]4- |
19,73 |
СS2A2O8:F |
0,3 |
Doublet 3 |
0,26 |
0,66 |
00,53 |
- |
[СаО10]18- |
22,04 |
СS2A2O8: |
Source: Research was done by the Mossbauer spectrometer MC1104EM in the Institute of Nuclear Physics
Moreover, the parameters of the AGRS spectra (table 6) identified 3 non-equivalent positions of the Fe3+ ions are represented by doublets 1,2, and 3, is isomorphic - having replaced in the crystal lattice of anortite ions Ca2+, Si4, Al3+ to form solid iron-containing solution of the composition: [Са1-xFex∙Al2-yFey∙Si2-z∙Fez]O8. In the technology of thin, construction and artly-decorative ceramics a significant role play a vitreous phase aluminasilicate compositions in ensuring the white, color and physico-technical properties. As can be seen from the informations shown in table 6, when the content of Fe2O3 from 0 to 1%, the reflection coefficient of the glass phase fused from pure oxides at a temperature 1400оC, reduced slightly from 86,1 to 70.9%.
This is because in the oxidative conditions of firing and cooling Fe3+ ions substitute for isovalent ions Al3+ in the tetrahedral [AlO4 ]5 according to the scheme: [AlO4]5 → [FeO4]5 that does not cause strong light absorption and reduce reflectance. When the content of Fe2O3 equal to 3% the reflection coefficient of the glass phase is significantly reduced and is 48.3%. Effect of glass phase on the whiteness of the product depending on the content Fe2O3 largely depends on the quantity, viscosity-forming melt and the firing temperature.
These phase and crystal-chemical features of dyeing aluminate and aluminosilicate crystalline and glassy phases are very important in the development of effective methods for producing materials isdelii as high whiteness (porcelain, faience), and intensely vivid colors, light and dark spectra in construction ceramics.
The formation of iron solid solutions in the crystal phases with a complex structure results in a significant reduction of the reflection coefficient of metakaolinite Al2O3∙2SiO2, and wollastonite (CaOSiO2) and anortite (CaO-Al2O3-SiO2) even (CaO·Al2O3·2SiO2), with the content of 0.5% Fe2O3 and can be explained by the isomorphism and crystal-chemical state of the ions Fe3+, given the structures of these phases. Higher susceptibility to staining of wollastonite and anortite oxide Fe2O3 due to the formation of iron containing clusters in a nano-complex of the crystal lattice due to isomorphous substitutions in the tetrahedral [SiO4]4-and [AlO4]5 , Si4 and Al3+ ions and Ca2+ ions in the voids of the lattice Fe3+ and the presence of free α - Fe2O3, not included in the structure of the solid solution and the low solubility limit of Fe2O3 in the structure of wollastonite (СаЅіО3) and anortite (CaO·Al2O3·2SiO2), which is 0.68 to 0.69 and 0.75 – 0.78 percent by weight, respectively. When the exaggeration of the number of Fe2O3 to 1.0%, TO of aluminosilicate phases mullite (3Al2O3∙2SiO2) and glass phase decreases relatively not very high, respectively, 17.6 and 15.2% in comparison with the sample without Fe2O3. Isovalent substitution in crystal-close ions do not cause electronic and crystallographic changes in the structure of the crystal lattice of the mullite that does not lead to a significant reduction in light absorption and consequently, to a sharp decrease of the reflection coefficient.
Substitutions like this take place in the structure of the glass phase. Therefore, from the perspective of lightening the coloring of ceramics, i.e., increase its reflectivity, the formation of iron containing solid solutions of wollastonite and anortite on the one hand is positive, because the reflection coefficient with Fe2O3 contents up to 1% significantly higher reflectance of the hematite with content 6.5%. This is to some extent neutralizes their color with oxide Fe2O3. However, when increased amounts of Fe2O3, in particular the masses on the basis of iron-bearing clays in the production of building ceramics, the efficiency of neutralization of its coloration is significantly reduced with the presence of free α- Fe2O3 with a limited solubility limit in the structures of wollastonite (СaSiO3) and anortite (CaO-Al2O3-SiO2), and also due to the heterogeneous nature of the formation of the solid solutions with Fe3+ and their clusters, probably in the third word is formed purple-red color.
In the fourth layer of the sample in the spectrum, there is one doublet and two sextet (Fig.8).
Fig-8. a Mossbauer spectrum of the fourth layer of sample
Source: Research was done by the Mossbauer spectrometer MC1104EM in the Institute of Nuclear Physics
Hyperfine parameters of mossbauer spectra are shown in table 7
Table-7. The hyperfine structure of the Mossbauer spectrum.
№ п/п |
Isomeric shift, δ, mm/s. |
Quadrupole splitting, ε, mm/s. |
Magnetic splitting Нeff, kE |
The half-width of the line, Г, mm/s |
The share of Fe,% |
1. |
0,300±0,0018 |
0,399± 005 |
0,524±0,012 |
69,6±0,8 |
|
2. |
0,381±0,006 |
-0,092±006 |
494,86 ±0,60 |
0,375±0,027 |
14,4±
,8 |
3. |
0,366±0,004 |
-0,098± 004 |
504,32 ±1,30 |
0,375±0,027 |
16,5±1,3 |
Source: Research was done by the Mossbauer spectrometer MC1104EM in the Institute of Nuclear Physics
There is an increase in the intensity as a doublet, and the second sextet, which indicates the increase in the number of iron ions in these states. The intensity of the first sextet is smaller than in the previous case. All these changes in the spectra of mossbauer is strongly reflected in the dawn samples.
Effect of coloring impurities of Fe on the color silicate phases, the most common of which in the structure of low-temperature ceramics containing carbonate materials are β-wollastonite (СaSiO3) and aluminosilicate Ca - anortite (CaO-Al2O3-SiO2), calcium containing solid solutions. These structures are characterized by often laminated or framed structure with complex relationships of silicate and aluminosilicate polyhedra of various degree of their association. This causes in some of the aluminosilicates the formation in nanoobject of their structures of Fe–containing clusters that cause strong absorption and a sharp decrease in the reflection coefficient. Because these phases are common to the products of construction and other types of ceramics, it is extremely important the study of whiteness and staining in the presence in their composition of Fe2O3. Staining of 4-th layer of light - brown color, probably due to the formation of β-wollastonite (СaSiO3) and aluminosilicate Ca - anortite (CaO-Al2O3-SiO2), calcium containing solid solution.
As can be seen from the above data, the ability to stain various phases of the oxide Fe2O3 is very different depending on the structure of the phases and their crystal chemistry and phase state of Fe.
The results of the research of the micro-nanostructure of the surface layer of different zones of the samples is shown in Fig.9. It was found that significant differences in the studied layers of samples are not observed.
Fig-9. Topography of the sample surface(7x7) mkm, obtained using atomic force microscope
Source: Research was done by Nanoeducator 2 NT-MDT in laboratory of Kazakh National University
| Funding: This research article is funded by grant of Abai Kazakh National Pedagogical University Ministry of Education and Science of the Republic of Kazakhstan. |
| Competing Interests: The authors declare that they have no competing interests. |
| Contributors/Acknowledgement: All authors contributed equally to the conception and design of the study. |
Belenky, E.F., 1974. Chemistry and technology of pigments / E.F. Belenky, I.V. Riskin. - L. Chemistry, 115(4): 357-414.
Chemical, 1970. Chemical applications of Mossbauer spectroscopy, Ed. Gol'danskogo V.I. Krizhanskogo LM, Khrapova V.V. Moscow: Moscow State University, 3(3): 206.
Mukhopadhyay, T.K., S.D. Prasad and T.K. Dan, 1995. Study on improvement of thermomechahical properties of red clay wares with addition of wollastonite. Research and Industry, 40(4): 306-310. View at Google Scholar
Neither, L.P., A.K. Zhetbaev, M.M. Goldmann and M.F. Vereschak, 1974. Vereschak bulletin of the academy of sciences of the Kazakh SSR the use of Mössbauer spectroscopy for the investigation of iron-containing compounds in clay production, No. 7: 26.
Vereshch, M.F., M. Goldman, A. Zhetbaev and T. Solenko, 1974. Mossbauer study of FE2O3-NA2O-SIO2 system. Fizika Tverdogo Tela, 16(4): 1231-1233. View at Google Scholar
Vil'bitskaya, N.A., n.d. Features of the formation of crystalline phases in high-calcium ceramics. Vil'bitskaya N.A., Golovanova S.P, 7(3): 24-29.
Yatsenko, N.D., 2015. Scientific foundations of resource-saving technologies of wall and facing ceramics and management of its properties. The Dissertation Author's Abstract on the Competition of a Scientific Degree of Doctor of Technical Sciences. Novocherkassk.
Yatsenko, N.D., A.A. Madoyan, A.P. Zubekhin, V.P. Ratkova and S.P. Golovanova, 1998. Golovanova influence of calcium containing waste on sintering of faience masses. Technology: Ser. Constructions from Composite Materials: Interdigit. Acientific - Technical. Sat. - M, 2(4): 11-13.
Zubehin, A.P., N.D. Yatsenko, V.I. Bolyak, K.A. Verevkin and E.V. Filatova, 2008. The influence of chemical and phase composition on the color of ceramic bricks. Building Materials, 3(4): 31-33. View at Google Scholar