Index

Abstract

This study evaluated the ameliorative effects of Antox® and Bactofort® on clinico-pathological changes in ISA Brown chicks inoculated with a very virulent infectious bursal disease virus (vvIBDV). Two hundred (200) ISA Brown day-old chicks were randomly assigned into four groups (A to D) of 50 birds each. Groups A, and B were administered with Antox®, and Bactofort®, respectively from day-old to 42 days of age, and inoculated with vvIBDV at 28 days of age. Groups C, and D served as positive, and negative controls, respectively. Clinical signs, morbidity and mortality rates, gross and histopathological changes were determined. The clinical signs were moderate in groups A and B, but severe in group C and absent in group D by 7 days post-inoculation (dpi). Morbidity and mortality rates were lower in groups A and B compared to C. Gross and histopathological lesions were less severe in groups A and B compared to C. Antox® and Bactofort® ameliorated the negative effects of vvIBDV. Antox® and Bactofort® could be recommended for use in vvIBDV outbreaks to ameliorate the negative effects due to the infection.

Keywords: Antox®, Bactofort®, Clinical signs, ISA brown chicks, Lesions, vvIBDV.

Received: Received: 6 April 2023/ Revised: 23 May 2023/ Accepted: 2 June 2023/ Published: 12 June 2023

Contribution/ Originality

The adoption of complementary and integrative medicine is receiving great attention. This study was as a result of speculations by farmers on the effectiveness of Antox® and Bactofort® in infectious bursal disease outbreaks.

1. INTRODUCTION

The poultry industry faces several challenges of which infectious diseases constitute the majority [1, 2]. Among these infectious diseases are those caused by immunosuppressive pathogens including infectious bursal disease virus (IBDV) [3]. Infectious bursal disease (IBD) is an acute, highly contagious infection of young chickens caused by virus (IBDV), is a member of the genus Avian birnavirus in the family Birnaviridae [4, 5]. Two distinct diseases (sub-clinical and clinical forms) are produced by IBDV in susceptible chickens. This however is dependent on the age of the bird at the point of infection and any of this form may result in immunosuppression [6]. The sub-clinical form is commonly observed in chickens below 3 weeks of age; while the clinical form is mostly observed in 3-8-week old chickens with typical lesions of IBD [6, 7]. The bursal of Fabricius (BF) is the principal organ of virus replication and peak virus titres in the BF can be detected between 3 and 5 days after IBDV infection [8, 9]. The histopathological signs of IBD infection in the BF may be characterized by degeneration and necrosis of lymphocytes [10-12]. The preventive methods recommended for IBD are implementation of strict biosecurity measures and vaccination [11]. However, in cases of IBD outbreaks, several remedies including herbal preparations and some supplements have been recommended. These remedies have been suggested to play significant roles in ameliorating the damages induced by the virus thus decreasing possible losses that may arise [13-16]. Some farmers have also gone to the extent of incorporating these herbal preparations and supplements into the routine feeding of their birds. Among the supplements commonly utilized in IBD outbreaks are Antox® and Bactofort®. A report showed that Antox® and Bactofort® mitigated the deleterious effects of vvIBDV on blood parameters thus suggested that they could assist in cases of IBD outbreak [17]. Another study showed that Antox® elicited stronger Ab response against vvIBDV [18]. The scientific justifications for using these supplements in cases of IBD have not been specifically described but are a result of speculations, thus the need for more evidences. In this study, the ameliorative effects of Antox® and Bactofort® on clinico-pathological changes in ISA Brown chicks inoculated with a vvIBDV were evaluated.

2. MATERIALS AND METHODS

2.1. Ethical Approval

The approval for the use of chickens in this study was granted by the Ahmadu Bello University Committee on Animal Use and Care (ABUCAUC), with Reference Number: ABUCAUC/2017/013.

2.2. Experimental Chickens

Two hundred ISA Brown day-old chicks obtained from a commercial hatchery located in Ibadan, Nigeria, were transported to the Poultry Research Pen of the Ahmadu Bello University Veterinary Teaching Hospital (ABUVTH) Zaria. Prior to the arrival of the chicks, the pen was thoroughly cleaned, washed and disinfected. Also, appropriate rodents and insects control were achieved using rodenticide and insecticide, respectively. The chicks were brooded on deep litter, and provided with chick mash feed and water ad libitum from 0 to 42 days of age.

2.3. Supplements Used

The liquid Antox® (Montajat Pharmaceuticals, Bioscience Division, Dammam 31491, Saudi Arabia) contained Saccharomyces cerevisiae (4.125×106 cfu/mL), Citric acid (6 g), Lactic acid (2 g), Vitamins B1 (100 mg), B2 (7.5 mg), B6 (80 mg), and B12 (0.6 mg), Biotin (1.5 mg), Nicotinamide (1 g), Calcium chrorine (300 mg), Potassium iodide (4.6 mg), Sodium selenite (78.8 mg), Zinc chloride (320 mg), Iron chloride (300 mg), Magnesium chloride hexahydrate (250 mg), Manganese chloride (631 mg), Copper sulphate (32 mg), Cobalt chloride (3.08 mg).

The powdered Bactofort® (Biofeed Technology Inc., Brossand, QC, Canada) contained Lactobacillus acidophilus (77 × 109 cfu/kg), Enterococcus faecium (44 × 109 cfu/kg), Saccharomyces cerevisiae (5,000 × 109 cells/kg), and Bacillus subtilis (2.2 × 109 cfu/kg).  

2.4. Experimental Design

The 200 one-day-old ISA Brown chicks were randomly assigned into four groups (A, B, C and D) of 50 chicks each. Chicks in group A were administered Antox® at 1.5 mL/litre in drinking water from 1-day-old to 42 days of age; group B administered Bactofort® at 12.5 g/25 kg in feed from 1-day-old to 42 days of age. Chicks in groups A, B and C were inoculated with a vvIBDV at 28 days of age intraocular. Group D chicks were not administered supplements and not inoculated with vvIBDV. The establishment of infection in chicks of groups A, B and C was confirmed by agar gel precipitation test.

2.5. Clinical Observations

Following inoculation of chicks with vvIBDV, the onset of clinical signs was noted. The number of birds exhibiting each of the clinical sign of IBD was recorded daily. Also, morbidity and mortality rates were recorded. The % clinical signs, morbidity and mortality rates were determined as described [19].

2.6. Gross and Histopathological Examinations

Dead birds were examined for gross lesions of IBD. Also, sections of the BF, spleen and thymus were obtained, fixed in 10% buffered neutral formalin solution and processed for histopathology [20].

2.7. Data Analyses

Descriptive statistics was used to analyse clinical signs, morbidity and mortality rates. The outcomes were presented in tables. Gross and histopathological lesions were presented using photographs and photomicrographs respectively.

3. RESULTS

3.1. Clinical Observations

At 2 dpi clinical signs of IBD appeared in group C only. At 3 dpi, clinical signs started appearing in groups A and B. The clinical signs increased to highest percentage at 4 dpi, were moderate in groups A and B, and severe in C (Table 1). The clinical signs observed were depression, ruffled feathers, anorexia and diarrhoea characterized by greenish yellow watery diarrhoea. From 5 dpi, clinical signs declined and by 7 dpi, survivors appeared apparently healthy.

Morbidity was observed 2 dpi in group C and 3 dpi in groups A and B. The morbidity rate lasted 5, 6 and 7 dpi in groups A, B and C, respectively. The highest morbidity rates were recorded at 5 dpi in all the groups inoculated with vvIBDV (A, 30.53%, B, 45.36% and C, 65.56%) (Table 2).

Mortality rate was observed 2 dpi in group C and 3 dpi in groups A and B. The mortality rates lasted for 5, 6 and 7 days in groups A, B and C respectively. The overall mortality rates were 48.26% (A), 63.96% (B) and 85.18% (C).

3.2. Gross and Histopathological Examinations

The gross lesions observed in inoculated chicks were pale breast muscle, petechial haemorrhages on the thigh and leg muscles (Figure 1), enlarged pale kidneys with prominent tubules and diffusely haemorrhagic BF (Figure 2), and enlarged congested spleen (Figure 3). Other lesions were congested oedematous BF with a gelatinous yellowish exudate covering the serosal surface. These gross lesions were less severe in groups A and B compared to C.

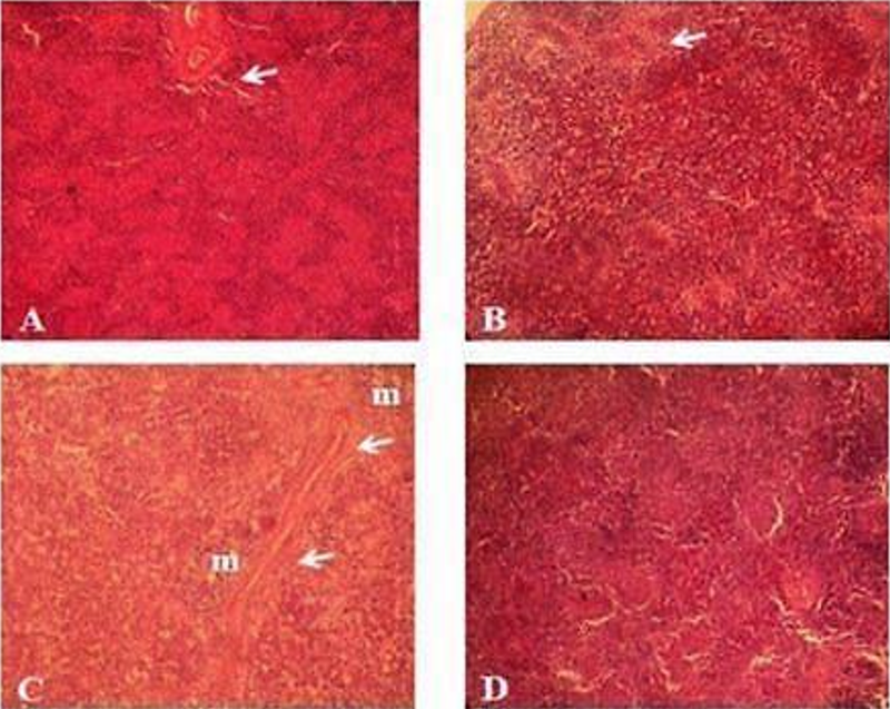
On histopathological examination, the lesions observed in the BF of chicks in groups A and B were mild depletion of lymphocytes. In group C, there was severe depletion of lymphocytes, vacuolation, and increased interfollicular space in the BF (Figure 4).

In the spleen, the histopathological changes observed were mild depletion of lymphocytes in the white pulp in groups A and B.  In group C, there were severe depletion of lymphocytes and perivascular mononuclear cells infiltration in the white pulp (Figure 5).

Table 1. Mean clinical signs (%) of ISA brown chicks administered Antox® and Bactofort® from day-old and inoculated with a very virulent infectious bursal disease virus at 28 day-old.
 
Days post inoculation
 
2
3
4
5
6
7
Overall average % of chicks with signs
Group Treatment
Daily average (%) of chicks with clinical signs
Severity of clinical signs
A Antox®
0.00
25.32
41.26
35.91
0.00
0.00
34.16
2 (Moderate)
B Bactofort®
0.00
35.03
46.25
37.59
26.34
0.00
36.30
2 (Moderate)
C Positive control
35.39
48.52
53.83
45.39
37.45
34.44
42.50
3 (Severe)
D Negative control
0.00
0.00
0.00
0.00
0.00
0.00
0.00
0 (Normal)

Table 2. Mean (%) morbidity and mortality rates of ISA Brown chicks administered Antox® and Bactofort® from 1-day-old and inoculated with a very virulent infectious bursal disease virus at 28 days-old.
   
Days post-inoculation
 
   
1
2
3
4
5
6
7
Group Treatment
Daily morbidity rate (%)
Highest morbidity rate
A Antox®
00.00
00.00
19.50
23.14
30.53
00.00
00.00
5 (30.53)
B Bactofort®
00.00
00.00
25.44
33.23
45.36
34.22
00.00
5 (45.36)
C Positive control
00.00
24.35
34.48
44.82
65.56
45.27
29.14
5 (65.56)
D Negative control
00.00
00.00
00.00
00.00
00.00
00.00
00.00
0 (00.00)
 
Days post-inoculation
1
2
3
4
5
6
7
Group Treatment
Daily mortality rate (%)
Overall mortality rate
A      Antox®
00.00
00.00
17.24
20.68
10.34
00.00
00.00
48.26
B Bactofort®
00.00
00.00
19.38
22.13
13.18
09.27
00.00
63.96
C Positive control
00.00
10.09
20.13
25.18
17.12
12.15
05.06
85.18
D Negative control
00.00
00.00
00.00
00.00
00.00
00.00
00.00
00.00

The histopathological changes observed in the thymus were mild depletion of lymphocytes in the medulla and congestion in groups A and B; but severe depletion of lymphocytes in the medulla, vacuolation of lymphoid cells in the cortex and congestion in group C (Figure 6).

Figure 1. Photograph of chickens inoculated with a vvIBDV showing pale breast muscle (arrow A), petechial haemorrhages on the thigh muscles (arrow B), and leg muscles (arrow C & D).

Figure 2. Photograph of a chicken inoculated with vvIBDV showing enlarged pale kidneys with prominent tubules (arrow K) and diffusely haemorrhagic BF (arrow B).

Figure 3. Photograph of an enlarged congested spleen from a chicken inoculated with vvIBDV.

Figure 4. Photomicrograph of section of bursa of Fabricius of chickens inoculated with vvIBDV (A, B and C) and uninoculated (D). Note mild depletion of lymphocytes (arrows) in A and B; severe depletion of lymphocytes (arrows), vacuolations (v) and increased interfollicular spaces (f) in C; intact bursal follicles (f) in D. H & E × 200

Figure 5. Photomicrograph of section of spleen of chickens inoculated with vvIBDV (A, B and C) and uninoculated (D). Note mild depletion of lymphocytes (arrows) in A and B; severe depletion of lymphocytes (arrows) and perivascular mononuclear cells infiltration (m) in C; intact red and white pulps in D. H & E × 200.

Figure 6. Photomicrograph of section of thymus of chickens inoculated with vvIBDV (A, B and C) and uninoculated (D). Note mild depletion of medullary lymphocytes (arrows) in A and B; severe depletion of medullary lymphocytes (d), congestion (c) and vacuolations (arrows) in C; intact thymic cortex and medulla in D. H & E × 200.

4. DISCUSSION

The clinical signs, morbidity and mortality rates observed in chicks inoculated with the vvIBDV in this study are consistent with previous reports under natural and experimental vvIBDV infections [19, 21-25]. The clinical signs might be linked to expression of major histocompatibility complex (MHC) II in target cells i.e. B-cells as documented in a previous study [19]. This is because MHC II was suggested to be a prime molecular target of IBDV on chicken bursal cells [26]. This might also be associated with the morbidity and mortality rates observed. However, mortalities in IBDV infections were linked to dehydration [27] leading to decreased tissue perfusion in vital organs, tissue hypoxia and associated ischaemic necrosis, and subsequently somatic death [28].

Antox® and Bactofort® in this study resulted in moderate clinical signs, and decreased morbidity and mortality rates compared to the positive control. This might be due to the ability of these supplements to decrease the expression of MHC II on B-cells and/or directly interfere with the vvIBDV replication. Their roles in the interference with tissue destruction might be another possible mechanism. The constituents in these supplements might have resulted in enhanced immune responses to the IBDV infection thus resulting in the decreased clinical signs, morbidity and mortality rates observed. The gross and histopathological lesions observed in this study are consistent with those of other studies [12, 24, 25, 29, 30]. The haemorrhages in the thigh and leg muscles might be due to virus-induced deficiency in the coagulation cascade resulting from disseminated intravascular coagulopathy, endothelial cells damage, prolonged whole blood recalcification time (WBRT), prothrombin time (PT), activated partial thromboplastin time (APTT) or a combination of these changes [24, 31]. The lesions in the BF, thymus and spleen might be due to direct viral injury to these organs and/or virus-induced inflammatory responses [12, 32, 33]. The decrease in lesions by Antox® and Bactofort® might be associated with their antiviral properties, interference with viral replication, decreased expression of MHC II on target cells and/or interference with IBDV-induced tissue destruction. The mitigating effects were better using Antox® than with Bactofort®. This might be due to the minerals (such as zinc, magnesium, manganese, copper, cobalt amongst others) present in Antox®. Zinc and magnesium were reported to play essential role in the modulation of the immune system and interferon (IFN) signaling pathway thus regulating antiviral immunity [34, 35] manganese suggested to be capable of inducing interferon production [36] while copper and cobalt inhibits viral replication [37, 38]. The antiviral actions of these minerals singly and/or in synergy might be responsible for the better ameliorative effects observed with Antox® compared to with Bactofort®. The antiviral activities of the microorganisms contained in Bactofort® via the actions of their metabolites might be associated with their modulatory/stimulatory effects on the immune response in the chicks [39]. However, the interference by the feed components with these organisms in Bactofort® might be another reason for the better mitigating effects observed with Antox® compared to Bactofort®.

In conclusion, Antox® and Bactofort® ameliorated the severity of clinical signs, morbidity and mortality rates, gross and histopathological lesions due to vvIBDV infection in chicks. Therefore, these supplements could be used by farmers and clinicians in cases of IBD outbreaks. However, there is need for further studies to evaluate different dose regimens of Antox® and Bactofort® on IBD, and determine the adverse effects of Antox® and Bactofort® when administered to chickens for more than six weeks of age.

Funding: This study received no specific financial support.  
Competing Interests: The authors declare that they have no competing interests.
Authors’ Contributions: All authors contributed equally to the conception and design of the study.

REFERENCES

[1]          H. M. Hafez and Y. A. Attia, "Challenges to the poultry industry: Current perspectives and strategic future after the COVID-19 outbreak," Frontiers in Veterinary Science, vol. 7, p. 516, 2020.  https://doi.org/10.3389/fvets.2020.00516

[2]          R. El Jeni et al., "An overview of health challenges in alternative poultry production systems," Poultry Science, vol. 100, no. 7, p. 101173, 2021.  https://doi.org/10.1016/j.psj.2021.101173

[3]          T. Obi, A. Olubukola, and G. Maina, "Pro-poor highly pathogenic Avian reduction strategies in Nigeria," Africa/Indonesia Team Working Paper, No. 5, 2008.

[4]          P. D. Lukert and Y. M. Saif, Infectious bursal disease. In: Calnek BW (Ed.), Diseases of Poultry, 11th ed. Ames, Iowa, USA: Iowa State University Press, 2003.

[5]          P. Abdu, "Pullorum disease and fowl typhoid," Manual of Important Poultry Diseases in Nigeria, vol. 5, pp. 47-55, 2014.

[6]          A. Wagari, "A review on infectious bursal disease in poultry," Health Economics & Outcome Research: Open Access, vol. 7, no. 2, pp. 18-23, 2021.

[7]          J. M. Sharma, I.-J. Kim, S. Rautenschlein, and H.-Y. Yeh, "Infectious bursal disease virus of chickens: pathogenesis and immunosuppression," Developmental & Comparative Immunology, vol. 24, no. 2-3, pp. 223-235, 2000.  https://doi.org/10.1016/s0145-305x(99)00074-9

[8]          H. Lasher and S. Shane, "Infectious bursal disease," World's Poultry Science Journal, vol. 50, no. 2, pp. 133-166, 1994.

[9]          S. Dey, D. C. Pathak, N. Ramamurthy, H. K. Maity, and M. M. Chellappa, "Infectious bursal disease virus in chickens: Prevalence, impact, and management strategies," Veterinary Medicine: Research and Reports, vol. 10, pp. 85-97, 2019.  https://doi.org/10.2147/vmrr.s185159

[10]        N. F. Cheville, "Studies on the pathogenesis of Gumboro disease in the bursa of Fabricius, spleen, and thymus of the chicken," The American Journal of Pathology, vol. 51, no. 4, p. 527, 1967.

[11]        O. Orakpoghenor, S. B. Oladele, and P. A. Abdu, "Infectious bursal disease: Transmission, pathogenesis, pathology and control-an overview," World's Poultry Science Journal, vol. 76, no. 2, pp. 292-303, 2020.  https://doi.org/10.1080/00439339.2020.1716652

[12]        O. Orakpoghenor, S. B. Oladele, P. A. Abdu, T. P. Markus, A. D. Andamin, and K. A. N. Esievo, "Comparative pathological changes induced by very virulent infectious bursal disease virus infection in inoculated, sentinel pigeons and chickens," Open Veterinary Science, vol. 2, no. 1, pp. 55-64, 2021.  https://doi.org/10.1515/ovs-2020-0108

[13]        B. Alamin, Y. Ibrahim, and N. Salih, "Effect of some vitamins and electrolytes on chickens infected with infectious bursal disease," World Applied Sciences Journal, vol. 7, no. 3, pp. 366-370, 2009.

[14]        M. Emadi, F. Jahanshiri, K. Kaveh, M. Hair-Bejo, A. Ideris, and A. Alimon, "Nutrition and immunity: The effects of the combination of arginine and tryptophan on growth performance, serum parameters and immune response in broiler chickens challenged with infectious bursal disease vaccine," Avian Pathology, vol. 40, no. 1, pp. 63-72, 2011.  https://doi.org/10.1080/03079457.2010.539590

[15]        A. R. Yasmin, S. L. Chia, Q. H. Looi, A. R. Omar, and A. M. M. Noordin, "Ideris, herbal extracts as antiviral agents," Feed Additives, vol. 1, pp. 115-132, 2020.

[16]        A. Ogbe, J. Shallmizhili, and P. Abdu, "Effects of some antiviral medicines on the performance and antibody titres of pullets challenged with very virulent infectious bursal disease virus," Archives of Veterinary and Animal Sciences, vol. 3, no. 1, pp. 1-13, 2021.

[17]        A. D. Andamin, P. A. Abdu, F. T. Akade, O. Orakpoghenor, and T. Aluwong, "Antox® and Bactofort® mitigated the haematological alterations induced by a very virulent infectious bursal disease virus in chicks," Veterinary Research Communications, vol. 45, no. 2-3, pp. 101-109, 2021.  https://doi.org/10.1007/s11259-021-09790-7

[18]        A. Andamin et al., "Molasses, Antox® and EN-FLORAX® decreased antibody decay rate and enhanced response to a very virulent infectious bursal disease virus and Newcastle disease vaccine La Sota in ISA Brown chicks," Journal of Immunoassay and Immunochemistry, vol. 43, no. 5, pp. 546-556, 2022.  https://doi.org/10.1080/15321819.2022.2036188

[19]        O. Orakpoghenor et al., "Very virulent infectious bursal disease virus infection caused changes in cloacal temperature and clinical manifestations in pigeons (Columba livia domestica) and is transmitted to sentinel chickens," Veterinary Research Communications, vol. 45, no. 4, pp. 335-342, 2021.  https://doi.org/10.1007/s11259-021-09814-2

[20]        L. G. Luna, Manual of histologic staining method of the armed forces institute of pathology, 3rd ed. New York, USA: McGraw Hill Book Company, 1968.

[21]        A. Cosgrove, "An apparently new disease of chickens: Avian nephrosis," Avian Diseases, vol. 6, no. 3, pp. 385-389, 1962.  https://doi.org/10.2307/1587909

[22]        P. Abdu, S. Abdullahi, A. Adesiyun, and C. Ezeokoli, "Challenge study on infectious bursal disease in chicks derived from vaccinated hens," Tropical Animal Health and Production, vol. 19, no. 1, pp. 47-52, 1987.  https://doi.org/10.1007/bf02250846

[23]        T. Van Den Berg et al., "Assessment of genetic, antigenic and pathotypic criteria for the characterization of IBDV strains," Avian Pathology, vol. 33, no. 5, pp. 470-476, 2004.  https://doi.org/10.1080/03079450400003650

[24]        T. Zeryehun, M. Hair-Bejo, and A. Rasedee, "Hemorrhagic and clotting abnormalities in infectious bursal disease in specific-pathogen-free chicks," World Applied Science Journal, vol. 16, pp. 1123-1130, 2012.

[25]        H. B. Aliyu, L. Sa’idu, A. Jamilu, A. D. Andamin, and S. O. Akpavie, "Outbreaks of virulent infectious bursal disease in flocks of battery cage brooding system of commercial chickens," Journal of Veterinary Medicine, vol. 1, pp. 1-7, 2016. https://doi.org/10.1155/2016/8182160

[26]        H. M. Saxena and P. Kaur, "Insights into the identity of the putative molecular target of infectious bursal disease virus on chicken bursal cells," Acta Scientific Microbiology, vol. 3, no. 11, pp. 61-73, 2020.  https://doi.org/10.31080/asmi.2020.03.0717

[27]        M. Islam and M. Samad, "Outbreaks of infectious bursal disease in vaccinated and unvaccinated commercial cockerel farms in Bangladesh," Bangladesh Journal of Veterinary Medicine, vol. 1, no. 1, pp. 21-24, 2003.  https://doi.org/10.3329/bjvm.v1i1.1912

 [28]        M. Miller and J. Zachary, "Mechanisms and morphology of cellular injury, adaptation, and death," Pathologic Basis of Veterinary Diseas, vol. 2, no. 43, p. e19, 2017. https://doi.org/10.1016/b978-0-323-35775-3.00001-1

[29]        D. Oluwayelu, B. Emikpe, J. Ikheloa, O. Fagbohun, and G. Adeniran, "The pathology of infectious bursal disease in crossbreeds of harco cocks and indigenous Nigerian hens," African Journal of Clinical and Experimental Microbiology, vol. 3, no. 2, pp. 91-94, 2002.  https://doi.org/10.4314/ajcem.v3i2.7336

[30]        M. Hair-Bejo, S. F. Phong, A. R. Omar, and I. Aini, "Characteristic clinical signs, gross and microscopic lesions of infectious bursal disease in chicks (IBD) caused by very virulent IBD virus (vvIBDV) of Malaysian isolate," Annals of Microscopy, vol. 4, pp. 88-95, 2004.

[31]        J. Skeeles, P. Lukert, E. De Buysscher, O. Fletcher, and J. Brown, "Infectious bursal disease viral infections. II. The relationship of age, complement levels, virus-neutralizing antibody, clotting, and lesions," Avian Diseases, vol. 23, no. 1, pp. 107-117, 1979.  https://doi.org/10.2307/1589677

[32]        F. Rauw, B. Lambrecht, and T. Van den Berg, "Pivotal role of ChIFNγ in the pathogenesis and immunosuppression of infectious bursal disease," Avian Pathology, vol. 36, no. 5, pp. 367-374, 2007.  https://doi.org/10.1080/03079450701589159

[33]        T. C. Cardoso, A. C. G. Rosa, R. D. Astolphi, R. M. Vincente, J. B. Novais, and K. Y. Hirata, "Direct detection of infectious bursal disease virus from clinical samples by in situ reverse transcriptase-linked polymerase chain reaction," Avian Pathology, vol. 37, no. 4, pp. 457-461, 2008.  https://doi.org/10.1080/03079450802216587

[34]        K. Minton, "Magnesium regulates antiviral immunity," Nature Review of Immunology, vol. 13, no. 8, pp. 548-549, 2013.  https://doi.org/10.1038/nri3501

[35]        M. Nabi-Afjadi, H. Karami, K. Goudarzi, I. Alipourfard, and E. Bahreini, "The effect of vitamin D, magnesium and zinc supplements on interferon signaling pathways and their relationship to control SARS-CoV-2 infection," Clinical and Molecular Allergy, vol. 19, no. 1, pp. 1-10, 2021.  https://doi.org/10.1186/s12948-021-00161-w

[36]        Y. Sun et al., "Manganese nanodepot augments host immune response against coronavirus," Nano Research, vol. 14, no. 5, pp. 1260-1272, 2021.  https://doi.org/10.1007/s12274-020-3243-5

[37]        V. Govind et al., "Antiviral properties of copper and its alloys to inactivate covid-19 virus: A review," Biometals, vol. 34, no. 6, pp. 1217-1235, 2021.  https://doi.org/10.1007/s10534-021-00339-4

[38]        D. O. S. Martins et al., "Insights into the role of the cobalt (III)-thiosemicarbazone complex as a potential inhibitor of the Chikungunya virus nsP4," Journal of Biological Inorganic Chemistry, vol. 28, no. 1, pp. 101-115, 2023.  https://doi.org/10.1007/s00775-022-01974-z

[39]        M. Ghorani, "Antiviral effects of probiotic metabolites," Iranian Journal of Medical Microbiology, vol. 16, no. 2, pp. 83-97, 2022. https://doi.org/10.30699/ijmm.16.2.83

Views and opinions expressed in this article are the views and opinions of the author(s), International Journal of Veterinary Sciences Research shall not be responsible or answerable for any loss, damage or liability etc. caused in relation to/arising out of the use of the content.