Index

Abstract

This investigation was performed in Teaching hospital and farm of Benha university in Moshtohor the number of cows in this farm 80 dairy cows that 40 of them had clinical signs of mastitis (inflammation in teats, pain in milking and milk decrease in amount and quality) .When examine these cows to identify the disease which cause these signs . California Mastitis Test (CMT) was performed to determine positive milk samples in the Mastitic targeted   cows. 20 samples of early lactation stage cows out of 40 samples recovered from CMT- positive milk samples. Biochemical and PCR tests were performed to isolates E. Coli from positive milk samples (CMT)  and determined three virulance genes,  eae gene ,SXT1 and SXT2 . The significance of Escherichia coli-induced mastitis and biochemical changes associated to it in cows, due to the presence of virulence genes and wide range resistance to 20 antimicrobials, is concluded.  E.coli cause biochemical changes in mastatic cow as (liver enzymes AST,GPT,TP, ant. oxidative enzymes as CAT, SOD,GST, LD and kidney function as urea and creatinine .E.coli has effect on inflammatory response  in immunity system of mastitic  cow by increase IL6,TNF and CRP.

Keywords: Prediabetes, Fasting blood glucose, Creatinine, Urea, Sodium, Potassium,Chloride, Bicarbonate, Diastolic blood pressure, Systolic blood pressure

Received: 24 May 2017 / Revised: 15 August 2017 / Accepted: 21 August 2017/ Published: 28 August 2017

Contribution/ Originality

This study uses new estimation methodology to virulent toxins of E.Coli by PCR and effects on biochemical changes.


1. INTRODUCTION

Mastitis is an inflammation of the mammary glands associated with physical and chemical and microbiological changes. It is considered the most important disease in dairy herds [1]. The most important causitave environmental mastitis pathogen is E.coli [2]. Escherichia coli is a major etiological agent of intra-mammary infections (IMI) in cows, leading to acute mastitis and causing great economic losses in dairy production worldwide [3]. Particular strains cause persistent IMI, leading to recurrent mastitis. Virulence factors of mammary pathogenic E. coli (MPEC) involved pathogenesis of mastitis as well as those differentiating strains causing acute or persistent mastitis [4]. The infection occur after bacteria entrance mammary gland via teat canal ,overcoming anatomical battier so they must evade the cellular and humeral defence mechanism of mammary gland to establish disease Radostits, et al. [5] and Mbuk, et al. [6]. Limited number of E.coli strains has ability to adhere and invade bovine mammary epithelial cell[s and cause persistant infection ,have severa l fimberia and fimberial adhesion that mediat adhesion to host epithelial cell through cell surface Milanov, et al. [7] and Döpfer, et al. [8]. This study was performed to :Detection the causitive agent of clinical matitis in cow by isolation of E.coli from milk of mastatic cow with special refrence to biochemical changes associated to it  in infected cow .Charactarization of E.coli pathogen isolated from mastatic cow chemical and serlogicaly .Investigation of some virulance factor associated to E.coli isolated . Detection of E.coli attaching and enffacing (Intimin) eaeA,STX1 and STX2 virulence factors of E. coli comprise adhesins, which help the bacteria to adhere to and colonize mucosal surfaces, and toxins, which are proteins with the ability to disturb or modify the normal function of the host cell and to help the bacteria to cross the epithelial barrier and to invade the tissue [9]. Clinical E. coli mastitis can range from mild with only local signs to severe disease with systemic clinical signs. In severe cases the outcome can be acute tissue damage and complete loss of milk production or even the death of the diseased cow The severity of E. coli mastitis depends on the age of the cow and on the lactation stage, i.e. older cows and cows in early lactation are more susceptible to infection [10].

The general aim of this study was 1-To investigate host response to Escherichia coli infection represented in biochemical changes and immunity system reponse 2-To identify possible specific virulence genes and phylogeny types of E. coli associated with severity of clinical mastitis and the intramammary infection. 

2. MATERIAL AND METHODS

2.1. Samples

A total 40 of milk samples were collected from clinically mastatic cows from Quliobea governorate all samples collected in sterail macartins and perform (CMT) the positive samples will send as soon as possible to lab to be examination .Bacteriological examination of milk samples [11] the collected samples were incubate aerobically at 370 C for 18-24 hrs then centrifugate  at 3000 rpm /20 min the cream and supernatant layer were discarded and streak the sediment on blood agar ,maconcky agar and EMBagar . The plates were incubated aerobically at 37C0 for 24-48 hrs and examined for bacteriological growth. Suspected colonies appeared on different media were picked up and purified by subculture on fresh set of protective and preserved into semisolid agar for Identification of isolated m.o. According to colonial morphological and appearance ,growth characterization ,hemolytic patterns ,microscopically by Gimesa stain and biochemically changes according to Boerlin, et al. [12].

1-Morphologically   
2-Biochemically identification

1-Catalase                     2-Oxidase
3-TSI                              3-Urease
5-Indole                         6-MR   
7-VR                                8-Citrate
9-Nitrate                        10-Sugar fermentation

3-Serological identification according to Edwered and Ewing [13].

4-PCR molecular identification DNA extraction. DNA extraction from samples was performed using the QIA amp DNA Mini kit (Qiagen, Germany, GmbH) with modifications from the manufacturer’s recommendations. Briefly, 200 µl of the sample suspension was incubated with 10 µl of proteinase K and 200 µl of lysis buffer at 56OC for 10 min. After incubation, 200 µl of 100% ethanol was added to the lysate. The sample was then washed and centrifuged following the manufacturer’s recommendations. Nucleic acid was eluted with 100 µl of elution buffer provided in the kit.

2.2. Oligonucleotide Primer

Primers used were supplied from Metabion (Germany) are listed in table (3) PCR amplification. Primers were utilized in a 25- µl reaction containing 12.5 µl of EmeraldAmp Max PCR Master Mix (Takara, Japan), 1 µl of each primer of 20 pmol concentration, 4.5 µl of water, and 6 µl of DNA template. The reaction was performed in an Applied biosystem 2720 thermal cycler. For stx1,2 duplex PCR, primers were utilized in a 50- µl reaction containing 25 µl of Emerald Amp Max PCR Master Mix, 1 µl of each primer of 20 pmol concentration, 13 µl of water, and 8 µl of DNA template.

2.3. Analysis of the PCR Products

The products of PCR were separated by electrophoresis on 1.5% agarose gel (Applichem, Germany, GmbH) in 1x TBE buffer at room temperature using gradients of 5V/cm. For gel analysis, 20 µl of each PCR product were loaded in each gel slot. A Generuler 100 bp ladder (Fermentas, Thermo Scientific, Germany) was used to determine the fragment sizes. The gel was photographed by a gel documentation system (Alpha Innotech, Biometra) and the data was analyzed through computer software.

Table-1. Primers sequences, target genes, amplicon sizes and cycling conditions.

Target gene
Primers sequences
Amplified segment (bp)
Primary 
Amplification (35 cycles)
Final extension
Reference
5'-3'
Denaturation
Secondary denaturation
Annealing
Extension
eaeA
ATGCTTAGTGCTGGTTTAGG
248
94˚C
94˚C
51˚C 
72˚C
72˚C
GCCTTCATCATTTCGCTTTC
5 min.
30 sec.
30 sec.
30 sec.
7 min.
Stx1
ACACTGGATGATCTCAGTGG
614
94˚C
94˚C
58˚C 
72˚C
72˚C
CTGAATCCCCCTCCATTATG
5 min.
30 sec.
45 sec.
45 sec.
10 min.
Stx2
CCATGACAACGGACAGCAGTT
779
CCTGTCAACTGAGCAGCACTTTG

3. RESULT

Table-2. Characterization of E.coli isolated from mastatic milk

Test
Reaction
+ Ve
Gram stain
Gram –Ve medium size bacilli
100%
Biochemical Identification
1-catalase
Gas bubbles
100%
2-Oxidase
-Ve
0%
Indol
Red ring
100%
3-MR
Red colour 
100%
4-VR
-Ve
0%
5-S.Citrate
-Ve
0%
6-Urease
-Ve
0.00%
7-Tsi
A/A/ gas+H   -H2S
100%

Table-3. Serotypes ofE.coli isolated from clinical mastitis cow

Noumber of mastatic cows
Serotypes
Noumber
Percent
20
O44
4
20%
O55
3
15%
O111
2
10%
O124
2
10%
O114
2
10%
O158
2
10%
O125
3
15%
O26
2
10%

Table-4. Characterization of E.coli serogroup isolates recovered from milk samples  of mastatic cow  byPCR assays for Intamin, Stx1 and Stx2

Sample No.
Sample ID
Results
eaeA
Stx1
Stx2
1
44
+
-
-
2
44
+
+
-
3
55
-
-
-
4
26
+
-
-
5
114
-
-
-
6
146
+
-
+
7
158
-
-
-
8
125
-
-
-

Tabie-5. Biochemical changes associated to E.coli infection in serum of cows * value of p < 0.01 and ** value of  p< 0.001.

G
Groups 
CAT
SOD
LDH
ALP
TP
CREATINE
GOT
GST
GPT
UREA
MDA
       Parameters
CONTROL 
50.00 ±4.103
41.00 ± .512
43.50 ± .272
4.545 ± .169
8.463 ± .224
0.5225 ± 0.047 15
56.50 ± .331
241.0 ± 6.24
18.75 ± .287
24.50 ± .661
64.50 ± 4.252
negative groups
E.coli
19.83
16.67 ±
115.6
3.513
6.428
1.37
81.4
156
53.2
44.67
139.6
Infected groupa
±
1.085**
± 
± 0.116* 
± 0.1523 *
± 
±
± 5.310 **
± 
 
± 
 
±
1.470** 
8.721** 
0.1610 *
8.68** 
3.137 **
3.252 **
6.258 **

Table-6. In study Van ELISA for the quantitation of bovine TNF-α in plasma was modified for serum as described in Carstensen, et al. [16]16 limit of the ELISA was 0.5 ng/ml for the serum.

Groups
Control negative
E.coli infected
Parameters
IL6
1.50 ± 5.362
136.2 ± 6.320*
TNF
33.25 ± 2.056 4
72.67 ± 6.412 *
CRP
20.25 ± 3.568
96.00 ± 6.261*

* value of p < 0.01

Fig-1.Mastitis in Cattle

\

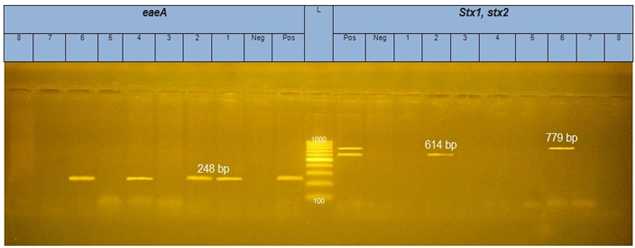
Fig-2. Agrose gel electrophoresis to Intamin genes (eaeA, Stx1 and Stx2) from extracted DNA of E.coli serogroup (O55, O26, O114, O146 O158, and O125).

Table 1 explain Primers sequences, target genes, amplicon sizes and cycling conditions which used in preparation of DNA, Our results in Table 2 and 3 showed that Characterization of E.coli isolated from mastatic milk by chemical tests which diffrantiation it from other cause of mastitis and other enterobactereacae ,table 2 determine strain of E.coli by Serotypes of E.coli isolated from clinical mastitis cow . table 4 showed that virulant genes present in strains O44eae, O44eaeand Stx1, O55, O26eae, O114, O146 eae and Stx2, O158, O125 .From  begaining of table 5 and 6 table biochemical changes associated to infection appear in cows that infected with mastitis Tabie 5 : showed biochemical changes associated to E.coli infection in serum of cows while Tabie 6 :showed inflamatory response associated to E.Coli infection and immunity response . . Fig 1 showed abnormal changes in teat infected with E.coli showed inflamed and redness teat when compare with normal teat in other figure while Figure 2: agrose gel electrophoresis showed Intamin (eaeA, Stx1 and Stx2) genes from extracted DNA of E.coli serogroup (O55, O26, O114, O146 O158, and O125).

4. STATISTICAL ANALYSIS

The statistics was applied by means of SPSS software (SPSS ver. 16, Inc., Chicago, IL).  T- test was used for each group at a significant value at p<0.05 [17].

5. DISSCUSION

The significance of Escherichia coli-induced mastitis in cows, associated with the presence of virulence genes , this targeted surveillance of rural dairy farms confirmed the significance of E. coli infection in mastitis of  cows [18] Escherichia coli is a major etiological agent of intra-mammary infections (IMI) in cows, leading to acute mastitis and causing great economic losses in dairy production worldwide [19]. Our result concluded that E.coli is the most cause of mastities by feild diagnosis CMT found 20 out of 40 samples the causitive agent of mastities was pathogenic E.coli and confirmed by charachtarization of E.coli and biochemical analysis to determined strain of E.coli.This aforesaid results came in agreement with other reports which recorded that E. coli is among the most common infectious agents isolated from severe mastitis cases in modern dairy farms Bradley, et al. [20] and Bradley [21]. The California Mastitis Test (CMT) provided a useful tool for farmers and veterinarians for measuring the level of inflammation in the udder [22]. In current study founded increase in inflamatory parameters IL6,TNF andCRP factors, In our opinion, this elevation may be created as a result of  proinflamatory response to infection with E.coli and stmulation of immunity system, these aforesaid results came in agreement with other reports recoreded that LPS triggers formation of proinflammatory and inflammatory cytokines, produced predominantly by monocytes and macrophages [23, 24]. Cytokines, such as tumor necrosis factor alpha (TNF-α), initiate the inflammatory response [25] which induces the acute phase response (APR) by activating the production of acute phase proteins (APP) and LPS-binding protein (LBP) [26-29].  All the above mentioned alterations mainly have a drawback effect on the biochemical and oxidative serum constituents specially SOD,LDH,,ALB,TP, CREATINE, GOT, GST,GPT,Urea and MDA, these  factors were cows-dependent, like the speed of the inflammatory response, lactation stage and age of the cow, are thought to determine the severity of E. coli mastitis [4]. The study advanced our standing of the mastatic effect of  E.coli on cows . E.coli virulance genes That  detected by PCR were Itamin,SxT1 and SxT2 these toxins were isolated from strains(  O44, O55, O111, O124, O114, O158,, O125, O26)   were considered as very important virulant factors of E.coli .Most of the pathogenic E. coli possesses several kinds of pathogenic mechanisms and virulence factors .Intimin is a protein encoded by eae gene [30]. It facilitates the adherence of attaching and effacing E. coli to the epithelial cells. It is proven that the eae gene in E. coli plays a definite role in induction of  cattle mastitis [31c]   also this result came agree with Kaper, et al. [9] who concluded that  virulence factors of E. coli comprise adhesins, which help the bacteria to adhere to and colonize mucosal surfaces, and toxins, which are proteins with the ability to disturb or modify the normal function of the host cell and to help the bacteria to cross the epithelial barrier and to invade the tissue . There was a clear significant correlation between the CMT scores and the E. Coli , The presence of eae Intimin gene in E. coli involved in mastitis of dairy cows is of paramount importance , E. coli with Intimin gene are able to form small microcolonies on the surface of infected epithelial cells, followed by localized degeneration of the microvilli cumulating in an attaching and effacing (A/E)  [18].  all the E. coli isolates with the virulence genes stx and eae showed resistance to a higher number of antimicrobials than those which were stx-negative [31]. It is recommended in disease-control programs of dairy to study the E. coli involvement in mastitis, and to include in the surveillance the detection of virulence genes that are decisive in economic losses in vetrinarian .

Funding: This study received no specific financial support.
Competing Interests: The authors declare that they have no competing interests.
Contributors/Acknowledgement: Both authors contributed equally to the conception and design of the study.

REFRENCES

[1]          M. N. Acik, N. E. Yurdakul, L. C. Akici, N. Onat, O. Dogan, and B. C. Etinkaya, TraT and CNF2 genes of Escherichia coli isolated from milk of healthy cows and sheep. Elazig, Turkey: Department of Microbiology, Faculty of Veterinary Medicine, University of Firat, 23119, 2004.

[2]          J. A. Mokovee and P. L. Ruegge, "Results of milk samples submitted for microbiological examination in Wisconsin from 1994 to 2001," Journal of Dairy Science, vol. 86, pp. 3466-3472 2003. View at Google Scholar | View at Publisher

[3]          S. E. Blum, E. D. Heller, S. Sela, D. Elad, N. Edery, and G. Leitner, "Genomic and phenomic study of mammary pathogenic escherichia coli," PLoS One, vol. 10, p. e0136387, 2015. View at Google Scholar | View at Publisher

[4]          C. Burvenich, V. Van Merris, J. Mehrzad, A. Diez-Fraile, and L. Duchateau, "Severity of E. coli mastitis is mainly determined by cow factors," Veterinary Research, vol. 34, pp. 521-564, 2003. View at Google Scholar | View at Publisher

[5]          O. M. Radostits, C. C. Gay, K. W. Hinchcliff, and P. D. Constable, Diseases caused by fungi. Veterinary medicine: A textbook of the diseases of cattle, horses, sheep, pigs and goats, 10th ed. Philadelphia, USA: Saunders Elsevier Ltd, 2007.

[6]          E. U. Mbuk, J. K. P. Kwaga, J. O. O. Bale, L. A. Boro, and J. U. Umoh, "Coliform organisms associated with milk of cows with mastitis and their sensitivity to commonly available antibiotics in Kaduna State," Nigeria Journal of Vetrinary Mediciny and Animal Healthy, vol. 8, pp. 228-236, 2016. View at Google Scholar | View at Publisher

[7]          D. Milanov, B. Prunić, M. Velhner, D. Todorović, and V. Polaček, "Investigation of biofilm formation and phylogenetic typing of escherichia coli strains isolated from milk of cows with mastitis," Acta Veterinaria-Beograd, vol. 65, pp. 202-216 2015. View at Google Scholar 

[8]          D. Döpfer, R. A. Almeida, T. J. G. M. Lam, H. Nederbragt, S. P. Oliver, and W. Gaastra, "Adhesion and invasion of escherichia coli from single and recurrent clinical cases of bovine mastitis in vitro," Veterinary Microbiology, vol. 74, pp. 331-343, 2000. View at Google Scholar | View at Publisher

[9]          J. B. Kaper, J. P. Nataro, and H. L. Mobley, "Pathogenic escherichia coli," Nature Reviews. Microbiology, vol. 2, pp. 123-140, 2004. View at Google Scholar 

[10]        J. Mehrzad, L. Duchateau, S. Pyörälä, and C. Burvenich, "Blood and milk neutrophils chemiluminescence and viability in primiparous and pluriparous dairy cows during late pregnancy, around parturition and early lactation," Journal of Dairy Science, vol. 85, pp. 3268-3276, 2002.View at Google Scholar | View at Publisher

[11]        P. J. Qurnn, B. K. Morky, M. E. Cater, W. J. C. Donelly, and F. C. Leonard, 8 vetrinary microbiology and microbial diseases, 1st ed.: Low Stat University Press Blackwell Science  2002.

[12]        P. Boerlin, P. Kuhnert, D. Hussy, and M. Schaellibaum, "Methods of identification of S. Aureus isoletes in cases of bovine mastitis," Journal of Clinical Microbiology, vol. 41, pp. 767-771, 2003.View at Google Scholar | View at Publisher

[13]        P. R. Edwered and W. H. Ewing, Identification of enterobacteriaceae. Minneapolis, Minnesota: Burrgess Pubi, Co, 1972.

[14]        M. A. Bisi-Johnson, C. L. Obi, S. D. Vasaikar, K. A. Baba, and T. Hattori, "Molecular basis of virulence in clinical isolates of escherichia coli and Salmonella species from a tertiary hospital in the Eastern Cape, South Africa," Gut Pathogens, vol. 3, p. 9, 2011. View at Google Scholar | View at Publisher

[15]        L. Dipineto, A. Santaniello, M. Fontanella, K. Lagos, A. Fioretti, and L. F. Menna, "Presence of Shiga toxin-producing escherichia coli O157:H7 in living layer hens," Letters in Applied Microbiology, vol. 43, pp. 293–295, 2006. View at Google Scholar | View at Publisher

[16]        L. Carstensen, C. M. Rontved, and J. P. Nielsen, "Determination of tumor necrosis factor-alpha responsiveness in piglets around weaning using an ex vivo whole blood stimulation assay," Veterinary Immunology and Immunopathology, vol. 105, pp. 59-66, 2005. View at Google Scholar | View at Publisher

[17]        R. Steel, J. Torrie, and D. Dickey, Principles and procedures of statistics: A biometrical approach, 3rd ed. New York: McGraw-Hill, 1997.

[18]        B. K. Elie, K. J. Tamar, S. Houssam, K. Zeina, I. Archana, A. Esam, H. Steve, and K. Taha, "The significance of escherichia coli-induced mastitis in cows associated with the presence of virulence genes and wide range-resistance to twenty antimicrobials," International Journal of Applied Research in Veterinary Medicine, vol. 13, pp. 51-63, 2015. View at Google Scholar 

[19]        A. J. Bradley and M. J. Green, "Adaptation of escherichia coli to the bovine mammary gland," Journal of Clinical Microbiology, vol. 39, pp. 1845-1849, 2001. View at Google Scholar | View at Publisher

[20]        A. J. Bradley, K. A. Leach, J. E. Breen, L. E. Green, and M. J. Green, "Survey of the incidence and aetiology of mastitis in dairy farms in England and Wales," Veterinary Record, vol. 160, pp. 253-258, 2007.View at Google Scholar | View at Publisher

[21]        A. Bradley, "Bovine mastitis an evolving disease," Vetrinary Journal, vol. 164, pp. 116-128, 2002. View at Google Scholar | View at Publisher

[22]        W. K. Persson, I. G. Colditz, S. Lun, and K. Östensson, "Cytokines in mammary lymph and milk during endotoxin-induced bovine mastitis," Research in Veterinary Science, vol. 74, pp. 31-36, 2003. View at Google Scholar | View at Publisher

[23]        E. Gonen, A. Vallon-Eberhard, S. Elazar, A. Harmelin, O. Brenner, I. Rosenshine, S. Jung, and N. Shpigel, "Toll-like receptor 4 is needed to restrict the invasion of escherichia coli P4 into mammary gland epithelial cells in a murine model of acute mastitis," Cellular Microbiology, vol. 9, pp. 2826-2838, 2007.View at Google Scholar | View at Publisher

[24]        M. Paape, D. Bannerman, X. Zhao, and J. W. Lee, "The bovine neutrophil: +structure and function in blood and milk," Veterinary Research, vol. 34, pp. 597-627, 2003.View at Google Scholar | View at Publisher

[25]        D. D. Bannerman, M. J. Paape, W. R. Hare, and E. J. Sohn, "Increased levels of LPS-binding protein in bovine blood and milk following bacterial lipopolysaccharide challenge," Journal of Dairy Science, vol. 86, pp. 3128-3137, 2003. View at Google Scholar | View at Publisher

[26]        D. D. Bannerman, M. J. Paape, J. W. Lee, X. Zhao, J. C. Hope, and P. Rainard, "Escherichia coli and Staphylococcus aureus elicit differential innate immune responses following intramammary infection," Clinical and Diagnostic Laboratory Immunology, vol. 11, pp. 463-472, 2004. View at Google Scholar | View at Publisher

[27]        P. D. Eckersall, F. J. Young, C. McComb, C. J. Hogarth, S. Safi, A. Weber, T. McDonald, A. M. Nolan, and J. L. Fitzpatrick, "Acute phase proteins in serum and milk from dairy cows with clinical mastitis," Veterinary Record, vol. 148, pp. 35-41, 2001. View at Google Scholar | View at Publisher

[28]        S. Hiss, M. Mielenz, R. M. Bruckmaier, and H. Sauerwein, "Haptoglobin concentrations in blood and milk after endotoxin challenge and quantification of mammary Hp mRNA expression," Journal of Dairy Science, vol. 87, pp. 3778-3784, 2004. View at Google Scholar | View at Publisher

[29]        R. Ghanbarpour and E. Oswald, "Phylogenetic distribution of virulence genes in escherichia coli isolated from bovine mastitis in Iran," Research in Veterinary Science, vol. 88, pp. 6-10, 2010. View at Google Scholar | View at Publisher

[30]        M. G. P. Correa and J. M. Marin, "O-serogroups, eae gene and EAF plasmid in escherichia coli isolates from cases of bovine mastitis in Brazil," Veterinary Microbiology, vol. 85, pp. 125-132, 2002. View at Google Scholar | View at Publisher

[31]        N. Solomakos, A. Govaris, A. S. Angelidis, S. Pournaras, A. R. Burriel, S. K. Kritas, and D. K. Papageorgiou, "Occurrence, virulence genes and antibiotic resistance of escherichia coli O157 isolated from raw bovine, caprine and ovine milk in Greece," Food Microbiology, vol. 26, pp. 865 - 871, 2009. View at Google Scholar | View at Publisher

Views and opinions expressed in this article are the views and opinions of the author(s), International Journal of Veterinary Sciences Research shall not be responsible or answerable for any loss, damage or liability etc. caused in relation to/arising out of the use of the content.