Index

Abstract

Peste des petits ruminants (PPR) is an acute to sub-acute highly contagious and frequently fatal viral disease of goats and sheep and wild small ruminants caused by a virus in the genus morbilivirus, family paramyxoviridae. The flock of sheep including 800 fattening sheep were affected and the presence of PPR virus was assayed with RT-PCR test. The only significant change in the CBC was leucopenia. There were typical lesions on dental pad, hard palate, gingiva and tongue. The Morbidity and case fatality rates were estimated 50 and 60 percent, respectively. All deaths were happen in lambs and young sheep. Results of the histopathologcal findings indicated that the lesions were mainly located on the respiratory system, upper digestive system, kidney and lymphoid organs. Infiltration of mononuclear and inflammatory cells in lamina propria were seen in mouth, soft palate, intestines, lung, and tonsil. Secondary infection as result of immunosuppression activity of the PPR virus was happened and resulted in high mortality and case fatality. The present paper reports an outbreak of PPR in a sheep flock in Karaj, Alborz province in Iran, including pathological, and clinical observation and also serological detection.

Keywords: Peste des petits ruminants, Iran, Outbreak, Histopathology, Immunosuppression, Epidemiology.

Received: 3 September 2018 / Revised: 8 October 2018 / Accepted: 12 November 2018/ Published: 5 December 2018

Contribution/ Originality

This study documents that PPR virus is severely immunosupressor and secondary infection is inevitable in outbreak. In clinical examination most suggestive symptom is the buccal cavity lesions and in necropsy, lung is the organ with most severe lesions. All the outbreaks with high morbidity and mortality, occur in unvaccinated flocks.


1. INTRODUCTION

Peste des petits ruminants (PPR) is an acute to sub-acute highly contagious and frequently fatal viral disease of goats and sheep and wild small ruminants caused by a virus in the genus morbilivirus, family paramyxoviridae, that closely resembles rinderpest both clinically and pathologically [1]. Goats are usually more severely affected than sheep [2].

PPRV concentration is high in the exhaled air and body fluids i.e. saliva , oral and nasal discharges, urine and feces of the infected animals . PPRV is primarily transmitted via the respiratory route among animals living in close proximity. It is reported that PPRV spreads to different other tissues of the body via regional lymphoid, then infects the lymphocytes and infection spreads throughout the body via both the lymphatic and vascular systems [3, 4]. PPR is characterized by fever, muco-purulent ocular and nasal discharges, necrotizing and erosive stomatitis, severe enteritis and pneumonia leading to death [5].

The disease causes serious economic losses and remains a major deterrent to a successful development of small ruminant production in the countries where it occurs [6-8]. It is one of the notifiable diseases of the OIE.
Infection rates in enzootic areas are generally high (above 50%) and can be up to 90% of the flock during outbreaks [9]. So Morbidity can reach 100% and mortality can be between 50% and 100% [10]. Case fatality rates are much higher in goats (55-85%) than in sheep (less than 10%) [9].

The main pathological findings of PPR are observed in respiratory and digestive system [11].

The potential and real economic impacts of PPR outbreaks are extremely high and poorer section of society is disproportionate, reflecting an intrinsic dependence on sheep and goat farming [12]. The present paper reports an outbreak of PPR in a sheep flock in Karaj, Alborz province in Iran, including pathological observation and serological detection.

2. METHODS AND MATERIALS

2.1. Area Description

Alborz province is located in central of Iran with temperate climate. Suitable climates and extensive pastures, make this area a suitable place for breeding sheep and goats. In winter, due to poor pastures, intensive rearing system is replaced.

2.2. Animals

In December 2012, a disease with high morbidity and mortality reported to Veterinary Research and Teaching Hospital (VRTH) of University of Tehran. The flock consisted of 800 fattening sheep at the age of 7 to 17 months. Animals were recently bought and transferred to the area.

2.3. Sampling

Tissue samples from the lung, liver, lymph node, kidney, small and large intestine, tongue, trachea, thymus, brain, spleen and heart were taken and fixed in 10% neutral buffered formalin, embedded in paraffin wax, sectioned at 5µm, and stained by routine methods with haematoxylin and eosin(H&E).

Blood samples were taken from the affected sheep to use in RT-PCR for PPR at a veterinary laboratory. A blood sample was obtained for complete blood count (CBC). Feces samples were collected for parasitic egg testing.

3. RESULTS

3.1. History and Clinical Finding

There was no record or any history of vaccination against PPR for any of the sheep. The flock was too intensive with poor ventilation system. The predominant signs in field observation were anorexia, nasal mucopurulant discharge, buccal lesions, and difficult breathing. The lesions in buccal cavity varied from vesicular future to erosion and ulceration (fig 1). There were lesions on dental pad, hard palate, gingiva and tongue. The temperatures of affected sheep were 39.5 to 40 °C.

Figure-1. Buccal lesions, including vesicular to erosive lesions. 8 month lamb.

Source: this study, Mohebbi and others. Warning: pictures were stretched too much horizontally and lost its normal form.

Secondary infection as parasitic disease was recorded in affected sheep. Microscopic examination of skin scraping revealed Sarcoptes scabiei mange infestation (fig. 2). The condition was severe with myiasis in most affected cases, resulted in desquamation of skin mostly in back. When the skin pulled off, the larva were seen under the skin and lower tissues were necrotic. Also Trichostrongylus infection was demonstrated in feces samples.

Figure-2. 10 months age lamb with Sarcoptes scabiei mite infestation. Scabby lesions in ears and face.

Source: this study, Mohebbi and others. Warning: pictures were stretched too much horizontally and lost its normal form.

3.2. Morbidity, Mortality and Case Fatality

The half of the sheep were affected and 240 sheep were died during two week. So the Morbidity and case mortality rates were estimated 50 and 30 %, respectively. Furthermore case fatality rate was estimated 60 %.

3.3. Necropsy Findings

Postmortem examination showed acute catarrhal enteritis with necrotic and ulcerative lesions on the mouth, intestine and large intestine, and also zebra striping in intestine (fig 3, 4). The lung was hyperemic/ congested and trachea appeared congested and contained frothy exudates (fig 5). On out sections, lung showed large quantities of exudates indicative of pulmonary edema. Lymph nodes were enlarged, swollen and edematous. Cysticercus tenuicollis was revealed in abdominal cavity of one case (fig 6).

Figure-3. Intestine with hemorrhagic, congestion and typical zebra stripes.

Source: this study, Mohebbi and others.

Figure-4. Necrotic and erosive lesions in the tongue.

Source: this study, Mohebbi and others.

Figure-5. Frothy exudates and hemorrhage lesion in trachea, 6 months age lamb.

Source: this study, Mohebbi and others.

Figure-6. Cysticercus tenuicollis in autopsy of abdominal cavity.

Source: this study, Mohebbi and others.

3.4. Histopathological Findings

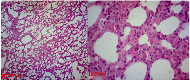
Results of the histopathologcal findings indicated that the lesions were mainly located on the respiratory system, upper digestive system, kidney and lymphoid organs (fig 7-10). The lesions present in lungs were more severe and characteristic from broncho-interestitial pneumonia to pulurant broncho-pneumonia. The interstitial pneumonia characterized by thickened inter alveolar septa caused by the infiltration of mononuclear cells. In most alveoli the hyperplasia in pneumocyte type II was seen. Furthermore Presence of intranuclear eosinophilic inclusions in alveolar macrophages was recorded (fig 10). In tonsils, the brilliant changes were the erosion in epithelium and mononuclear infiltration in lamina propria.

Fig-7. Glossitis with erosion and mononuclear cells infiltration in lamina propria, tongue (H & E, 100 ×)

Source: this study, Mohebbi and others.

Fig-8. Intestine, stunting and blunting of villi, necrosis at villous tips and erosion, and infiltration of inflammatory cells in lamina propria (H & E, 100 ×)

Source: this study, Mohebbi and others.

Fig-9. Kidney, tubular necrosis and degeneration (desquamation of tubular epithelium and presence of hyaline tubular cast) (H & E, 100 ×)

Source: this study, Mohebbi and others.

Fig-10. Lung, the interstitial pneumonia, with thickened inter alveolar septa, intranuclear eosinophilic inclusions in alveolar macrophages (H & E, 40 and 400 ×)

Source: this study, Mohebbi and others.

3.5. Serological and Hematological Findings

RT-PCR on serum samples conducted at the veterinary laboratory, confirmed presence of PPR in the flock. The only significant change in the CBC was leucopenia.

4. DISCUSSION

In Iran a clinically, pathologically and serologically documented outbreak of PPR was first reported in 1995 from Ilam province [13]. During 1995-2005 the disease spread all over Iran. In this years the average and the range of morbidity and case fatality rate, were 7.7% (3.25-57.4) and 20.6% (3.5-64), respectively. In Abdollahpour report in 2006, about 40 % mortality was recorded in sheep PPR outbreak in central of Iran [11].
In this study the morbidity, mortality, and case fatality rate were 50%, 30 %, and 60% respectively. All deaths were happen in lambs and young sheep. El-Yuguda revealed that all the animals that showed the grass clinical signs, were young (6-18 months) [14]. Also Ahmad found that PPR affect kids than adults [15]. It seems that this extensive range of morbidity and mortality of outbreaks depends on endemic or exotic nature of the disease in the area, combination of the flock (numb of lambs and adult sheep), vaccination history, rearing management, and immune system efficiency. In this study poor management for ventilation and hygiene, intensive rearing system that predispose transmission of the disease, and recently transferred animals that predispose suppression of immune system, resulted in high morbidity and mortality.

In present report, recorded clinical signs approximately were same to other studies with some variety in severity [16-18].

As like Morbillivirus, PPRV has great affinity to lymphoid cells, causing damage to the lymphoid organs [4] Intestine lesions including congestion, necrotic plaques, and hemorrhagic spots, might be due to extensive necrosis in lymphoid organs leading to inability of the animals to mount specific immune response to PPRV [4, 19].

The post-mortem findings of PPR in lung were mentioned congestion, red hepatisation, raised patches of emphysema in the lung, hemorrhages and froth exudates in the trachea, Harshad, et al. [20]; Rahman, et al. [21]. Most severe lesions and signs, clinically and in autopsy, were located in respiratory system, As the PPRV is primarily transmitted via the respiratory route [4, 22] and this tract is severely affected.

In this outbreak except above macroscopic lesions, also crest necrosis in kidney, and erosive lesion in abomasum, were observed. The last one also was reported in Zahur study in Pakistan [5].

Interestitial pneumonia and hyperplasia in pneumocyte type II and also multinucleated syncytial cells in alveolar lumina [1, 23] were seen in this study. Infiltration of mononuclear and inflammatory cells in lamina propria were seen in mouth, soft palate, intestines, lung, and tonsil. The same finding was recorded in epithelial histopathology with infiltration of neutrophil leucocytes, in Abdollahpour, Toplu, Rahman, and Harshad study [1, 11, 20, 21].

The depletion of lymphoid cells was found in lymph nodes and tonsils, similar to Rahman study [20, 21]. The kidney changes was similar to Harshad finding with desquamation, necrosis, and hyaline cast of tubular epithelium.

The virus might have the immunosuppressor effect, like the other morbillivirus [24]. In zones, where the endemic form persists, PPR acts as a predisposing factor for secondary bacterial and parasitic infections [25]. immuno-suppression activity operated through the reduction of CD4+T cells [4]. In this study severe secondary infection including alimentary tract parasite, miyasis, Cysticercus tenuicollis, and sarcoptic mange were recorded. Most of this cases were died during a month.

5. CONCLUSION

The findings of this study suggest that PPR virus is severely immunosupressor and secondary infection is inevitable in outbreak, furthermore supportive therapy for immune system like vitamin C and levamisole are helpful. In clinical examination most suggestive symptom is the buccal cavity lesions and in necropsy, lung is the organ with most severe lesions and in microscopic investigation with most pathognomonic symptoms. All the outbreaks with high morbidity and mortality, occur in unvaccinated flocks, so the intensive vaccination program suggested to control the disease.

Funding: This study received no specific financial support.   
Competing Interests: The authors declare that they have no competing interests. 
Contributors/Acknowledgement: All authors contributed equally to the conception and design of the study.

REFERENCES

[1]          N. Toplu, "Characteristic and non-characteristic pathological findings in peste des petits ruminants (PPR) of sheep in the Ege district of Turkey," Journal of Comparative Pathology, vol. 131, pp. 135-141, 2004.Available at: https://doi.org/10.1016/j.jcpa.2004.02.004.

[2]          N. Rita, P. Gopu, Baegan, and S. Barathidasan, "Maaraynta small ruminant pest for grazing," Veterinary World, vol. 1, pp. 81-82, 2008.

[3]          N. Toplu, T. Oguzoglu, and H. Albayrak, "Dual infection of fetal and neonatal small ruminants with border disease virus and peste des petits ruminants virus (PPRV): Neuronal tropism of PPRV as a novel finding," Journal of Comparative Pathology, vol. 146, pp. 289-297, 2012.Available at: https://doi.org/10.1016/j.jcpa.2011.07.004.

[4]          K. Ahrar, M. K. Saleemi, F. Ali, M. Abubakar, R. Hussain, R. Z. Abbas, and I. A. Khan, "Pathophysiology of peste des petits ruminants in sheep (Dorper & Kajli) and goats (Boer & Beetal)," Microbial Pathogenesis, vol. 117, pp. 139-147, 2018.Available at: https://doi.org/10.1016/j.micpath.2018.02.009.

[5]          A. Zahur, A. Ullah, H. Irshad, M. Farooq, M. Hussain, and M. Jahangir, "Epidemiological investigations of a peste des petits ruminants (PPR) outbreak in Afghan sheep in Pakistan," Pakistan Veterinary Journal, vol. 29, pp. 174-178, 2009.

[6]          P. Dhar, B. Sreenivasa, T. Barrett, M. Corteyn, R. Singh, and S. Bandyopadhyay, "Recent epidemiology of peste des petits ruminants virus (PPRV)," Veterinary Microbiology, vol. 88, pp. 153-159, 2002.Available at: https://doi.org/10.1016/s0378-1135(02)00102-5.

[7]          A. Diallo, "Control of peste des petits ruminants: Classical and new generation vaccines," Developments in Biologicals, vol. 114, pp. 113-119, 2003.

[8]          Z. Yener, Y. S. Sağlam, A. Temur, and H. Keleş, "Immunohistological detection of Peste des petits ruminants viral antigens in tissues from cases of naturally occurring pneumonia in goats," Small Ruminant Research, vol. 51, pp. 273-277, 2004.Available at: https://doi.org/10.1016/s0921-4488(03)00194-9.

[9]          O. M. Radostits, C. C. Gay, K. W. Hinchcliff, and P. D. Constable, Veterinary medicine, A textbook of the diseases of cattle, horses, sheep, pigs and goats, 10th ed. London: W. B. Saunders Co. Ltd, 2007.

[10]        B. P. Smith, Large animal internal medicine, 5th ed. London: Elsevier Co, 2015.

[11]        G. Abdollahpour, A. Raoofi, J. Najafi, F. Sasani, and E. Sakhaie, "Clinical and Para-clinical findings of a recent outbreaks of Peste des Petits ruminants in Iran," Journal of Veterinary Medicine, Series B, vol. 53, pp. 14-16, 2006.Available at: https://doi.org/10.1111/j.1439-0450.2006.01013.x.

[12]        M. Baron, D. Parida, and S. Oura, "Peste des petits ruminants: A suitable candidate for eradication?," Veterinary Record, vol. 169, pp. 16-21, 2011.

[13]        T. Bazarghani, S. Charkhkar, J. Doroudi, and E. Bani Hassan, "A review on peste des petits ruminants (PPR) with special reference to PPR in Iran," Journal of Veterinary Medicine, Series B, vol. 53, pp. 17-18, 2006.Available at: https://doi.org/10.1111/j.1439-0450.2006.01014.x.

[14]        A. D. El-Yuguda, M. B. Abubakar, A. B. Nabi, A. Andrew, and B. S. S., "Outbreak of Peste des petits ruminant in an unvaccinated sahel goat farm in Maiduguri, Nigeria," African Journal of Biomedical Research, vol. 12, pp. 83-87, 2007.

[15]        K. Ahmad, S. M. Jamal, Q. Ali, and M. Hussein, "An outbreak of peste des petits ruminant (PPR) in a goat flock in Okara, Pakistan," Pakistan Veterinary Journal, vol. 25, pp. 145-148, 2005.

[16]        A. C. Rowland, G. R. Scott, and D. Hill, "The pathology of an erosive stomatitis and enteritis in West African dwarf goats," Journal of Pathology, vol. 98, pp. 83-87, 1969.Available at: https://doi.org/10.1002/path.1710980111.

[17]        A. Bundza, A. Afshar, T. W. Dukes, M. D.J., D. G.C., and B. S., "Experimental peste des petits ruminants (goat plague) in goats and sheep," Canadian Journal of Veterinary Research, vol. 52, pp. 46-52, 1988.

[18]        Empres, Recognizing peste des petits ruminants. Rome: Food and Agriculture Organisation of the United Nations, 1999.

[19]        Y. Yanagi, M. Takeda, and S. Ohno, "Measles virus: Cellular receptors, tropism and pathogenesis," Journal of General Virology, vol. 87, pp. 2767-2779, 2006.Available at: https://doi.org/10.1099/vir.0.82221-0.

[20]        C. C. Harshad, S. L. Panduranga, and S. Arnab, "The use of histopathological and histopathological techniques in the diagnosis of peste des petits ruminants in India," Veterinaria Italiana, vol. 47, pp. 41-47, 2011.

.[21]        M. Rahman, I. Shadmin, M. Noor, R. Parvin, E. Chowdhury, and M. Islam, "Peste des petits ruminants virus infection of goats in Bangladesh: Pathological investigation, molecular detection and isolation of the virus," Bangladesh Veterinarian, vol. 28, pp. 1-7, 2011.Available at: https://doi.org/10.3329/bvet.v28i1.8808.

[22]        A. Sen, P. Saravanan, V. Balamurugan, V. Bhanuprakash, G. Venkatesan, J. Sarkar, K. K. Rajak, A. Ahuja, V. Yadav, S. B. Sudhakar, S. Parida, and R. K. Singh, "Detection of subclinical peste des petits ruminants virus infection in experimental cattle," Virus Disease, vol. 25, pp. 408–411, 2014.

[23]        M. A. Al-Dubaib, "Peste des petits ruminants morbillivirus infection in lambs and young goats at Qassim region, Saudi Arabia," Tropical Animal Health and Production, vol. 41, pp. 217-220, 2009.Available at: https://doi.org/10.1007/s11250-008-9178-6.

[24]        F. Roger, L. Yigezu, C. Hurard, G. Libeau, G. Mebratu, A. Diallo, and B. Faye, "Investigations on a new pathological condition of camels in Ethiopia," Journal of Camel Practice and Research, vol. 7, pp. 163-165, 2000.

[25]        G. Abraham, A. Sintayehu, G. Libeau, E. Albina, F. Roger, Y. Laekemariam, D. Abayneh, and K. Awoke, "Antibody seroprevalences against peste des petits ruminants (PPR) virus in camels, cattle, goats and sheep in Ethiopia," Preventive Veterinary Medicine, vol. 70, pp. 51-57, 2005.Available at: https://doi.org/10.1016/j.prevetmed.2005.02.011.

Views and opinions expressed in this article are the views and opinions of the author(s), International Journal of Veterinary Sciences Research shall not be responsible or answerable for any loss, damage or liability etc. caused in relation to/arising out of the use of the content.