Probiotics yield numerous health benefits to the host. In this way the probiotic bacterium, Bacillus coagulans has competitively been excluded the pathogenic bacteria, Streptococcus spp., and Klebsiella spp., from the gut of Macrobrachium rosenbergii post-larvae when given through feed (Manjula et al., 2018). The elimination of these two pathogenic bacteria indicated the fact that B. coagulans improved the disease resistance capacity of M. rosenbergii. The present paper deals with 16S rRNA sequence analysis of gut microbial diversity of M. rosenbergii fed with B. coagulans (CFU, 2.28x10-7) supplemented feed, which revealed the presence of B. coagulans (1541 bp), Lactobacillus fermentum (1516 bp), Lactobacillus lactis (1499 bp), Lactobacillus acidophilus (1507 bp), Escherichia coli (1465 bp) and Staphylococcus aureus (1476 bp). The BLAST of these sequences showed almost 100% similarities with the same species retrieved from the NCBI database. The MAS showed 920 identical amino acids residues, 119 similar amino acids residues and 461 variable amino acids sites. The nucleotide sequence divergence and the calculated phylogenetic information clearly discriminate these bacterial species.
Keywords: Prawn, Gut, Probiotics, B. coagulans, 16S rRNA sequence, Streptococcus, Klebsiella.
Received: 4 December 2018 / Revised: 12 February 2019 / Accepted: 15 March 2019/ Published: 6 May 2019
This study indicates that the probiotic, Bacillus coagulans used as a feed supplement helped in the exclusion of two pathogenic bacteria Streptococcus spp., and Klebsiella spp., from the gut of Macrobrachium rosenbergii. The gut microflora identified have been barcoded and authenticated.
The outbreak of bacterial diseases in marine shrimp, led to shift of prawn culture towards freshwater side. In India, the freshwater prawn particularly, Macrobrachium rosenbergii (De Man) has great potential as a candidate species for culture due to its fast growth and better environmental tolerance. It has high economic value and consumer acceptability due to its nutritious delicacy, protein rich, low cholesterol and palatable taste (Dayal et al., 2013; Maliwat et al., 2016; FAO, 2018).
In aquaculture, the addition of probiotics would be an integral component of the host and helpful for maintaining the gut bacterial balance, as they act as natural immune enhancers, which provoke the disease resistance by neutralizing the colony establishment of pathogenic bacteria by competitive exclusion (Wu et al., 2010; Sakkaravarthi et al., 2011; Zokaeifar et al., 2012; Hassaan et al., 2014; Chen et al., 2017; Ramirez and Romero, 2017; Le et al., 2018; Zoqratt et al., 2018). Some studies have been confirmed that the intestinal microbiota (Photobacterium, Aeromonas, Vibrio, Xanthomonas, Enterobacter, Bacillus sp., B. licheniformis Pediococcus, Agrobacterium, Corynebacterium, Alcaligenes, Flavobacterium, Pseudomonadaceae and Chromobacterium) act as probiotics and showed antimicrobial activity against some pathogenic bacteria (Vibrio harveyi, Vibrio fischeri, E. coli, S. aureus, Pseudomonas fluorescens) in aquaculture animals, such as the shrimp, Litopenaeus vannamei (Gullian et al., 2004; Luis-Villaseñor et al., 2015; Sha et al., 2016; Vieira et al., 2016; Zhang et al., 2016; Vargas-Albores et al., 2017; Li et al., 2018). Bacillus S11 has competitively excluded V. harveyi in Penaeus monodon (Rengpipat et al., 2000). L. acidophilus worked well against Vibrio parahaemolyticus, Vibrio cholerae, V. harveyi and Vibrio alginolyticus in P. monodo (Sivakumar et al., 2012).Total heterotrophic bacteria increases, soil quality, water quality and production of P. monodon by reducing pathogenic green Vibrio and luminous Vibrio (Hasan et al., 2012). It has been reported that Lactobasillus strains, Enterococcus faecalis LS1-2 and Enterococcus faecium Z1-2, having significant antimicrobial activities against shrimp pathogens (Cui et al., 2017). The probiotic organisms Bacillus subtilis, Lactobacillus plantarum, P. fluorescens and Staphylococcus lactis isolated from commercial shrimp feed, shrimp gut, water and seaweed showed in vitro antimicrobial activity against shrimp pathogens like V. parahaemolyticus, Aeromonas hydrophila, V. cholera and V. harveyi (Chelladurai et al., 2015). Paenibacillus spp., and Bacillus cereus,inhibits Vibrio spp., in shrimp intestine P. monodon (Ravi et al., 2007).
Many studies revealed the beneficial effects of probiotic bacteria on aquaculture animals for improving the health and performance as antimicrobial agents and growth promoters (Deeseenthum et al., 2007; Nayak, 2010; Van Hai and Fotedar, 2010; Olmos et al., 2011; Mohapatra et al., 2012; Lakshmi et al., 2013; Korada and Yarla, 2014; Ghosh et al., 2016; Prasad and Reddy, 2016; Vieira et al., 2016; Das et al., 2017). Probiotics enhanced immunity in the form of haemocytes, phagocytic activity and phenoloxidase activity in L. vannamei against V. harveyi infection (Arisa et al., 2015). Lactobacillus bulgaricus E20 has enhanced survival and growth of L. vannamei and developed immunity in the form of haemocytes, phenoloxidase activity, respiratory burst against V. parahaemolyticus (Roomiani et al., 2018). Bacillus subtilis isolated from mangrove cockle, Anadara tuberculosa served as probiotic in L. vannamei, improved growth and cellular immune response (Sánchez-Ortiz et al., 2015). Bacillus licheniformis and Lactobacillus rhamnosus improved the growth of L. vannamei (Swapna et al., 2015). Even probiotics have been appreciated for its beneficial effects on the host, including anti-allergic and anti-inflammatory effects. Tropomyosin (Tm) is the predominant allergic protein in shellfish. The probiotic, Bifidobacterium infantis 14.518 (Binf) effectively suppressed Tm-induced allergic response in a mouse model by both preventive and therapeutic strategies (Fu et al., 2017).
Most of the probiotic strains (Pseudoalteromonas, B. cereus, Bacillus sp., B. subtilis, Bacillus thuringiensis, Bacillus endophyticus YC3-b, B. endophyticus C2-2 and Bacillus tequilensis YC5-2, Bacillus firmus, Lactobacillus, Lactobacillus plantarum, Rhodobacter capsulatus, Photobacterium damselae, V. alginolyticus) isolated from shrimp gut have produced digestive enzymes (proteases, pepsin, amylases, lipases, esterases and chitinases (Yang et al., 2015). Rhodosporidium paludigenum, red yeast produces pigmentation and reduces oxidative stress in aquatic animals (Scholz et al., 1999). Pigmented Bacillus produced carotenoids and free-radical scavenging activity (Ngo et al., 2016). Streptomyces and Bacillus have been combined and used as an excellent producer of antibiotics in aquaculture as a probiotic agent (Das et al., 2006; Bernal et al., 2017).
The gut microbiota of an organism is based on its surrounding environment and health status (Tang et al., 2014; Hou et al., 2016; Zhang et al., 2016; Chen et al., 2017; Zeng et al., 2017). However, the shift in microbial composition and structure is less affected by the surrounding environment, and the host itself is mainly shaped the stable gut microbial environment (Rungrassamee et al., 2014; Yan et al., 2016; Li et al., 2017; Yao et al., 2018). Studies on the gut microbiota of M. rosenbergii are very limited except few (Zarif and Azin, 2014; Bhavani et al., 2015; Karthik and Saravana, 2018; Karthik et al., 2018; Manjula et al., 2018). Therefore in order to understand its relationship with host, it is necessary to identify the composition of gut microbiota. The phylogeny of any organism is based on morphological data, and sequences of DNA, RNA or protein. In this study the diversity of gut microbiota of M. rosenbergii PL fed with B. coagulans (CFU, 2.28x10-7) supplemented diet was analysed through sequencing of 16S rRNA gene, which can generate reliable and sufficient information either at genes or species level.
Previously the prawn, Macrobrachium rosenbergii post larvae (PL) were supplemented with five different serially diluted concentrations (10-1, 10-3, 10-5, 10-7 and 10-9) of the probiotic bacterium, Bacillus coagulans. At 10-7 (CFU, 2.28x10-7), the presence of Streptococcus spp., Klebsiella spp., E. coli and Staphylococcus spp., were recorded in control PL. In the experimental PL, Bacillus spp., Lactobacillus spp., E. coli and Staphylococcus spp., were recorded. This revealed that the pathogenic bacteria, Streptococcus spp., and Klebsiella spp., were found to have competitively been excluded (Manjula et al., 2018). Therefore, the gut bacterial diversity of experimental PL fed with B. coagulans supplemented feed were subjected to molecular analysis in the present paper.
2.1. Molecular Analysis
2.1.1. Isolation and Purification of Genomic DNA
Bacterial genomic DNA was isolated from individual culture of Bacillus spp., (one colony) Lactobacillus spp., (three colonies), E. coli and Staphylococcus spp., (one colony) by using phenol, chloroform, iso-amyl alcohol method (PCI) and they were homogenized in pre cooled mortar and pistol with 2 volume of cold TE buffer (500 µl). 20 µl of Proteinase K was added and incubated at 56°C for 1-8 hours until the tissue was totally dissolved. Equal volume of PCI was added with concentration of (25:24:1) and mixed thoroughly for few minutes. The sample was centrifuged for 10 minutes at 12,000 rpm. The upper phase was transferred to new 1.5 ml tube, equal volume of Chloroform: Iso-amyl alcohol (24:1) was added and centrifuged at 12,000 rpm for 10 minutes. The upper layer was transferred to a freshly sterilized micro centrifuge tube and double volume of child absolute ethanol was added. This preparation was kept at -20°C over night for precipitation then centrifuged for 10 minutes at 10,000 rpm. The supernatant was discarded and 500 µl of 70% ethanol was added. The sample was again centrifuged at 7,000 rpm for 10 minutes and the supernatant was removed. The pellet was kept for air dry under the laminar flow. The pellet was re-suspended in 100 µl of nuclease free water or 1X TAE buffer (Sambrook et al., 1989).
To the sample 500µl of PCI was added and mixed slowly then it was incubated at 25°C for 5 minutes and centrifuged at 12,000 rpm for 5 minutes at 4°C. The aqueous phase was carefully removed into new centrifuge tube and treated two more times with PCI. The residual protein was eliminated from the aqueous phase by adding 400µl of chloroform, mixed slowly and centrifuged at 12,000 rpm for 10 minutes at 4°C. The upper aqueous phase was recovered and the DNA was precipitated by adding 10µl of 4M ammonium acetate and 500 µl of cold absolute ethanol, then incubated at -20°C for 20 minutes and centrifuged at 15,000 rpm for 15 minutes at 4°C. The precipitated DNA was cleaned with ethanol and the pellet was air dried. The pellet (containing Genomic DNA) was dissolved in 100µl of TE buffer and stored at -20°C for future usage, or at -80°C for long preservation.
2.1.2. Agarose Gel Electrophoresis (AGE)
Tank buffer, 1X TAE was prepared, (i. e, 365=350 (tank capacity) +15 ml (boat capacity). The presence of genomic DNA was confirmed by 1% agarose gel. Agarose (150mg) was dissolved in 15ml of TAE buffer (the agarose was melted in TAE buffer under micro oven for 1 minute). A drop of ethidium bromide was added, casted at room temperature and poured into the boat. Then the comb was placed. After polymerization, the comb was carefully removed without damaging the wells. The boat was fixed into the tank filled with 350 ml of 1X TAE buffer. The sample DNA was mixed with loading dye (containing Bromophenol blue and Glycerol in 2:6 ratio), and carefully loaded into the wells of the casted gel. The gel was given 100 volts DC for 30 minutes, safely removed and placed under UV transilluminator / GEL Documentation for viewing the DNA bands.
2.1.3. Amplification of 16S r-RNA
The 16S r-RNA gene was amplification in Applied Biosystem Thermo Cycler by using the universal primers with forward and reverse in nature (5’-TGCCAGGCGGCCGCAGAGTRTGATCMTYGCTWAC-3’, and 5’-TGCCAGGCGGCCGCCGYTAMCTTWTTACGRCT-3’.
PCR was carried out with a final reaction volume of 50 µl in 200 µl capacity thin walled PCR tube. Composition of reaction mixture for PCR is given in Table 1. The PCR tubes containing the mixture were tapped gently and spined briefly at 10,000 rpm. The PCR tubes with all the components were transferred to thermal cycler. The condition for PCR is given in Table 2.
To confirm the targeted PCR amplification, 4µl of PCR product from each tube was mixed with 2µl of 6X gel loading dye. The 2% gel was constantly supplied with 50V/cm for 20 min in 1X TAE buffer. The amplified product (16S rRNA) was visualized as a single compact band of expected size under UV light and documented by gel documentation system (Medicare, UK).
Table-1. Composition of reaction mixture for PCR with 100 µl reaction.
Components |
Quantity |
DNA |
1 µl (100ng) |
Forward primer |
400ng |
Reverse primer |
400ng |
dNTPs (10mM each) |
4µl |
10X Chrom Taq RNA Polymerase Assay Buffer |
10 µl |
Chrom Taq RNA Polymerase Enzyme (3U/µl) 1 µl and Water |
93 µl |
Total reaction volume: |
100 µl |
Source: Chromous Biotech Pvt. Ltd. Bengaluru, India (Manufacturer’s protocol).
Table-2. Steps and conditions of thermal cycling for PCR.
Steps |
Temperature (T) |
Time |
Cycles |
Initial Denaturation |
90°C |
05.00 m |
|
Final Denaturation |
90°C |
00.30 m |
35 |
Annealing |
50°C |
00.30 m |
|
Extension |
72°C |
01.30 m |
|
Final Extension |
72°C |
7.00 m |
Source: Chromous Biotech Pvt. Ltd. Bengaluru, India (Manufacturer protocol).
2.2. Sequencing Reaction Preparations
Sanger sequencing was adapted in which target RNA is denatured and annealed to an oligonucleotide primer, which is then extended by RNA polymerase using a mixture of deoxynucleotide triphosphates (normal dNTPs) and chain-terminating di-deoxynucleotide triphosphates (ddNTPs). ddNTPs lack the 3’ OH group to which the next dNTP of the growing RNA chain is added. Without the 3’ OH, no more nucleotides can be added, and RNA polymerase falls off. The resulting newly synthesized RNA chains will be a mixture of lengths, depending on how long the chain was when a ddNTP was randomly incorporated
2.2.1. Template Quantity for PCR Product
100-200bp (1-3ng/ µl), 200-500bp (3-10ng/ µl), 500-1000bp (5-20ng/ µl), 1000-2000bp (10-40ng/ µl), Plasmid-Single-stranded (25-50ng/µl), and Double-stranded (150-300 ng/µl). Our desired quantity of PCR product volume of this study: 1000-1500bp (5-20 ng/ µl).
2.2.2. Template Pre-Heat Treatment
The template RNA was heated at 96ºC for 5 minute in a Thermal Cycler and cooled in ice bath immediately and stored at 4ºC until use. First PCR machine was switched and the program was set. Thawed the BDT v 3.1 kit on ice and aliquot 10 µl of RR mix into sterile 0.2 ml microfuge tubes on ice and stored at -20ºC. Sequencing reactions was prepared in 0.2 ml PCR thin wall tube or micro plate well by placing the tube on ice. Addition was made in the order listed in the table below and the reagents was thawed and mixed thoroughly before use. The reaction content was mixed briefly in tube/plate, covered the plate with plate seal film and centrifuged for a quick spin of 20 seconds. The plates/tubes were transferred to the PCR machine and the PCR program was started as follows Table 3 and 4.
Table-3. Template pre-heat treatment
Reagent |
Concentration |
Volume (20 μl) |
Ready Reaction Premix |
2.5X |
4 μl |
Bi |
5X |
2 μl |
|
Dye Sequencing buffer |
||
Primer |
- |
3.2 pM (μl) |
Template |
- |
3 μl |
Water |
- |
10 μl |
Final Volume |
1X |
20 μl |
Source: Chromous Biotech Pvt. Ltd. Bengaluru, India (Manufacturer’s protocol).
Table-4. PCR sequencing cycling conditions.
Process |
Temperature |
Time |
Cycles |
Initial Denaturation |
96ºC |
1 sec |
25 |
Denaturation |
96ºC |
10 sec |
25 |
Annealing |
50ºC |
5 sec |
25 |
Elongation |
60ºC |
4 min |
-- |
Source: Chromous Biotech Pvt. Ltd. Bengaluru, India (Manufacturer’s protocol).
2.2.3. Reactions Clean Up by Ethanolic Precipitation
After completion of the PCR program, the sample was processed for ethanolic precipitation. From PCR tube, the samples were transferred to 96 well microlitre plates and 5 µl of 125 mM EDTA was added to each well. 60 µl of ice cold 100% ethanol (from -20ºC) was added to each reaction, the plate was sealed and mixed by vortexing for 20-30 seconds and incubated at room temperature for 15 minutes. The sample plate was spun at 3,000 × g for 30 minutes at 4ºC. The supernatant was carefully removed by inverting the plate and spun up to 180 × g, then removed from the centrifuge. The pellet was rinsed once with 60 µl of ice cold 70% ethanol (-20ºC) by centrifugation at 1650 × g for 15 minutes at 4ºC. The plate was inverted and spun up to 180 × g for 1 minute, and then removed from the centrifuge. The sample was re-suspended in 10 µl of Hi-Di formamide and incubated for 15 minutes at room temperature. The re-suspended samples were transferred to the appropriate wells of the sample plate. Ensured each sample was positioned at the bottom of its tube or well. The samples were denatured at 95ºC for 5 minutes with snap chill and the plate was loaded into sequencer, after completion the data was analyzed.
2.3. Bioinformatics Analysis (Sequence Annotations and Statistics)
The sequence statistical analysis is conducted by various software’s and online tools. The sequences were aligned with FASTA format and sequence were submitted and authenticated by NCBI – Gen Bank database. Before the sequences were involved to found the nucleotide information, both sequences (forward and reverse) were merged contigs with PRABI-Doua: CAP3 online tool. The sequence proteins were involved to basic local alignment (BLAST) to find out the internal stop codon and reading frame shift. Finally, we found the starting codon for detecting the translate protein by using ORF finder. Ban kit sequence submission tool was used to submit the sequence to Gen Bank.
2.4. Multiple Sequence Alignment
Multiple sequence alignment (MSA) is a sequence alignment of three or more biological sequences, generally protein, DNA, or RNA. MSA is generally the alignment of three or more biological sequences (protein or nucleic acid) of similar length. From the output, homology can be inferred and the evolutionary relationships between the sequences studied.
2.5. T- Coffee Alignment
T-Coffee is a multiple sequence alignment package. Can use T-Coffee to align sequences or to combine the output of your favorite alignment methods (Clustal, Mafft, Probcons, Muscle, etc.) into one unique alignment (M-coffee).T-Coffee can align Protein, DNA and RNA sequences. It is also able to combine sequence information with protein structural information (Expresso), profile information (PSI-Coffee) or RNA secondary structures (R-Coffee).This multiple sequence alignment web server has been introduced in 2011 NAR web server issue.
2.6. Multiple Align Show (MAS)
The Sequence Manipulation Suite is a collection of web-based programs for analyzing and formatting DNA and protein sequences. The output of each program is a set of HTML commands, which is rendered by web browser as a standard web page.
Multiple align show used to highlight the amino acid residues in the sequences. The resulted sequences from T-coffee were uploading in MAS and the following parameters were selected identical amino acid residues in amino acid color, similar residues in black and variables in white color. After selecting the parameters the sequences were submitted and the result was appeared in new window.
2.7. Phylogenetic Analysis
Phylogenetic analysis is the process used to determine the evolutionary relationship between the organisms and species level. The result of the analysis can be drawn in a hierarchical diagram called ‘Cladogram’ or ‘phylogram’ (phylogenetic tree). The branch of the tree denotes the hypothesized evolutionary relationship (phylogeny). Each member in a branch, also known as a monophyletic group assumed to be descendants from a common ancestor. Originally, phylogenetic tree was created by morphological variation given by same special like sexual dimorphism, larvae adult coloration and now it is carried out using DNA sequence.
2.8. Synonymous and Non-Synonymous Substitution
Estimation of synonymous (Ks) and non-synonymous (Ka) substitutions was calculated by Li93 method (Muse and Gaut, 1994) of DAMBE for 3rd codon position. The maximum likelihood (ML) analysis for the synonymous and non-synonymous substitutions was produced by joint reconstructions of ancestral states by Muse-Gaut model of codon substitution and Felsenstein model of nucleotide substitution (Felsenstein, 1981).
2.9. Saturation
Analysis of sequence saturation was done by using DAMBE V 5.3.10 (Xia, 2013) for calculating the transitional and transvertional substitutions against genetic distance (TN93). The substantial saturation of the sequence was checked by using the method of Xia et al. (2003); Xia and Lemey (2009) (DAMBE).
2.10. Molecular Evolutionary Genetic Analysis (MEGA V.6)
MEGA tool is used to find the evolutionary relationship between the species using homologous sequences. It is based on the statistical analysis of genes, the percentages of conservedness, variance and parsimony of the sequences. The distance between groups also can be estimated. The estimation was accomplished using bootstrapping approach. Transition and type of substitution between the sequences can also be used for inferring phylogenetics by the distance based methods, along with bootstrap test. This tool is used for estimating evolutionary distance, constructing phylogenetic trees, testing tree reliability, making genes and domains, testing for selection, grouping, sequence computing and constructing tree from distance data. Sequence were aligned (Multiple align) using Bio Edit and the resulted sequences were converted in to MEGA format, which was used for reconstruction of phylogenetic tree topology.
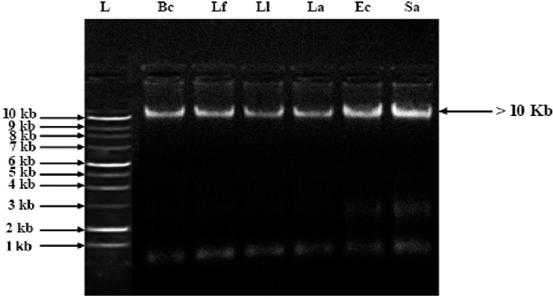
The isolated genomic DNA from B. coagulans, L. fermentum, L. lactis, L. acidophilu,s E. coli and, S. aureus showed >10kb size each Figure 1. Their amplified 16S r-RNA gene with the universal primers have yield ~1500 bp size nucleotide each for B. coagulans, L. fermentum, L. lactis, L. acidophilu,s E. coli and, S. aureus Figure 2.

Figure-1. AGE (1%) of bacterial species shows >10 kb genomic DNA. L, Ladder (1 kb); Bc, B. coagulans; Lf, L. fermentum; Ll, L. lactis; La, L. acidophilus; Ec, E. coli; Sa, S. aureus.
Source: Paper authors original work.

Figure-2. AGE (2%) of Bacterial species shows ~1500 bp of amplified product. L, Ladder (1 kb); Bc, B. coagulans; Lf, L. fermentum; Ll, L. lactis; La, L.acidophilus; Ec, E. coli; Sa, S. aureus.
Source: Paper authors original work.
The amplified product showed 1541 bp, 1516 bp, 1507 bp, 1499bp, 1465 bp, 1499 bp, and 1476 bp nucleotide sequences for B. coagulans, L. fermentum, L. lactis, L. acidophilus, E. coli and, S. aureus respectively Table 5. These sequences were authenticated with the NCBI Gen Bank.
Table-5. 16S rRNA barcodes of bacterial species identified in the gut of M. rosenbergii PL fed with B. coagulans incorporated diet (Base pair values are given in parenthesis with respective Gen Bank accession number).
Bacillus coagulans (1541 bp, MG557779) TAGAGTTTGATCATGGCTCAGGACGAACGCTGGCGGCGTGCCTAATACATGCAAGTCGTGCGGACCT TTTAAAAGCTTGCTTTTAAAAGGTTAGCGGCGGACGGGTGAGTAACACGTGGGCAACCTGCCTGTAA GATCGGGATAACGCCGGGAAACCGGGGCTAATACCGGATAGTTTTTTCCTCCGCATGGAGGAAAAAG GAAAGACGGCTTCGGCTGTCACTTACAGATGGGCCCGCGGCGCATTAGCTAGTTGGTGGGGTAACG GCTCACCAAGGCAACGATGCGTAGCCGACCTGAGAGGGTGATCGGCCACATTGGGACTGAGACACGG CCCAAACTCCTACGGGAGGCAGCAGTAGGGAATCTTCCGCAATGGACGAAAGTCTGACGGAGCAACG CCGCGTGAGTGAAGAAGGCCTTCGGGTCGTAAAACTCTGTTGCCGGGGAAGAACAAGTGCCGTTCGA ACAGGGCGGCGCCTTGACGGTACCCGGCCAGAAAGCCACGGCTAACTACGTGCCAGCAGCCGCGGTA ATACGTAGGTGGCAAGCGTTGTCCGGAATTATTGGGCGTAAAGCGCGCGCAGGCGGCTTCTTAAGT CTGATGTGAAATCTTGCGGCTCAACCGCAAGCGGTCATTGGAAACTGGGAGGCTTGAGTGCAGAAGA GGAGAGTGGAATTCCACGTGTAGCGGTGAAATGCGTAGAGATGTGGAGGAACACCAGTGGCGAAGG CGGCTCTCTGGTCTGTAACTGACGCTGAGGCGCGAAAGCGTGGGGAGCAAACAGGATTAGATACCCT GGTAGTCCACGCCGTAAACGATGAGTGCTAAGTGTTAGAGGGTTTCCGCCCTTTAGTGCTGCAGCTA ACGCATTAAGCACTCCGCCTGGGGAGTACGGCCGCAAGGCTGAAACTCAAAGGAATTGACGGGGGCC CGCACAAGCGGTGGAGCATGTGGTTTAATTCGAAGCAACGCGAAGAACCTTACCAGGTCTTGACACC TCTGACCTCCCTGGAGACAGGGCCTTCCCCTTCGGGGGACAGAGTGACAGGTGGTGCATGGTTGTCG TCAGCTCGTGTCGTGAGATGTTGGGTTAAGTCCCGCAACGAGCGCAACCCTTGACCTTAGTTGCCAG CATTCAGTTGGGCACTCTAAGGTGACTGCCGGTGACAAACCGGAGGAAGGTGGGGATGACGTCAAA TCATCATGCCCCTTATGACCTGGGCTACACACGTGCTACAATGGATGGTACAAAGGGCTGCGAGACC GCGAGGTTAAGCCAATCCCAGAAAACCATTCCCAGTTCGGATTGCAGGCTGCAACCCGCCTGCATGAA GCCGGAATCGCTAGTAATCGCGGATCAGCATGCCGCGGTGAATACGTTCCCGGGCCTTGTACACACC GCCCGTCACACCACGAGAGTTTGTAACACCCGAAGTCGGTGAGGTAACCTTTACGGAGCCAGCCGCCG AAGGTGGGACAGATGATTGGGGTGAAGTCGTAACAAGGTAGCCGTATCGGAAGGTGCGGTTGGATC ACC |
Lactobacillus fermentum (1516 bp, MG557782) CCTGGCTCAGGATGAACGCCGGCGGTGTGCCTAATACATGCAAGTCGAACGCGTTGGCCCAATTGAT TGATGGTGCTTGCACCTGATTGATTTTGGTYGCCAACGAGTGGCGGACGGGTGAGTAACACGTAGG TAACCTGCCCAGAAGCGGGGGACAACATTTGGAAACAGATGCTAATACCGCATAACARCGTTGTTCGC ATGAACAACGCTTAAAAGATGGCTTCTCGCTATCACTTCTGGATGGACCTGCGGTGCATTAGCTTGT TGGTGGGGTAAYGGCCTACCAAGGCGATGATGCATAGCCGAGTTGAGAGACTGATCGGCCACAATG GGACTGAGACACGGCCCATACTCCTACGGGAGGCAGCAGTAGGGAATCTTCCACAATGGGCGCAAGC CTGATGGAGCAACACCGCGTGAGTGAAGAAGGGTTTCGGCTCGTAAAGCTCTGTTGTTAAAGAAGAA CACGTATGAGAGTAACTGTTCATACGTTGACGGTATTTAACCAGAAAGTCACGGCTAACTACGTGCC AGCAGCCGCGGTAATACGTAGGTGGCAAGCGTTATCCGGATTTATTGGGCGTAAAGAGAGTGCAGG CGGTTTTCTAAGTCTGATGTGAAAGCCTTCGGCTTAACCGGAGAAGTGCATCGGAAACTGGATAACT TGAGTGCAGAAGAGGGTAGTGGAACTCCATGTGTAGCGGTGGAATGCGTAGATATATGGAAGAACA CCAGTGGCGAAGGCGGCTACCTGGTCTGCAACTGACGCTGAGACTCGAAAGCATGGGTAGCGAACAG GATTAGATACCCTGGTAGTCCATGCCGTAAACGATGAGTGCTAGGTGTTGGAGGGTTTCCGCCCTTC AGTGCCGGAGCTAACGCATTAAGCACTCCGCCTGGGGAGTACGACCGCAAGGTTGAAACTCAAAGGA ATTGACGGGGGCCCGCACAAGCGGTGGAGCATGTGGTTTAATTCGAAGCTACGCGAAGAACCTTACC AGGTCTTGACATCTTGCGCCAACCCTAGAGATAGGGCGTTTCCTTCGGGAACGCAATGACAGGTGGT GCATGGTCGTCGTCAGCTCGTGTCGTGAGATGTTGGGTTAAGTCCCGCAACGAGCGCAACCCTTGTT ACTAGTTGCCAGCATTAAGTTGGGCACTCTAGTGAGACTGCCGGTGACAAACCGGAGGAAGGTGGG GACGACGTCAGATCATCATGCCCCTTATGACCTGGGCTACACACGTGCTACAATGGACGGTACAACGA GTCGCGAACTCGCGAGGGCAAGCAAATCTCTTAAAACCGTTCTCAGTTCGGACTGCAGGCTGCAACTC GCCTGCACGAAGTCGGAATCGCTAGTAATCGCGGATCAGCATGCCGCGGTGAATACGTTCCCGGGCC TTGTACACACCGCCCGTCACACCATGAGAGTTTGTAACACCCAAAGTCGGTGGGGTAACCTTTTAGG AGCCAGCCGCCTAAGGTGGGACAGATGATTAGGGTGAAGTCGTA |
Lactococcus lactis (1499 bp, MG557783) GACGAACGCTGGCGGCGTGCCTAATACATGCAAGTTGAGCGATGAAGATTGGTGCTTGCACCAATTT GAAGAGCAGCGAACGGGTGAGTAACGCGTGGGGAATCTGCCTTTGAGCGGGGGACAACATTTGGAA ACGAATGCTAATACCGCATAATAACTTTAAACATAAGTTTTAAGTTTGAAAGATGCAATTGCATCACT CAAAGATGATCCCGCGTTGTATTAGCTAGTTGGTGAGGTAAAGGCTCACCAAGGCGATGATACATAG CCGACCTGAGAGGGTGATCGGCCACATTGGGACTGAGACACGGCCCAAACTCCTACGGGAGGCAGCA GTAGGGAATCTTCGGCAATGGACGAAAGTCTGACCGAGCAACGCCGCGTGAGTGAAGAAGGTTTTC GGATCGTAAAACTCTGTTGGTAGAGAAGAACGTTGGTGAGAGTGGAAAGCTCATCAAGTGACGGTA ACTACCCAGAAAGGGACGGCTAACTACGTGCCAGCAGCCGCGGTAATACGTAGGTCCCGAGCGTTGT CCGGATTTATTGGGCGTAAAGCGAGCGCAGGTGGTTTATTAAGTCTGGTGTAAAAGGCAGTGGCTC AACCATTGTATGCATTGGAAACTGGTAGACTTGAGTGCAGGAGAGGAGAGTGGAATTCCATGTGTA GCGGTGAAATGCGTAGATATATGGAGGAACACCGGTGGCGAAAGCGGCTCTCTGGCCTGTAACTGAC ACTGAGGCTCGAAAGCGTGGGGAGCAAACAGGATTAGATACCCTGGTAGTCCACGCCGTAAACGATG AGTGCTAGATGTAGGGAGCTATAAGTTCTCTGTATCGCAGCTAACGCAATAAGCACTCCGCCTGGGG AGTACGACCGCAAGGTTGAAACTCAAAGGAATTGACGGGGGCCCGCACAAGCGGTGGAGCATGTGGT TTAATTCGAAGCAACGCGAAGAACCTTACCAGGTCTTGACATACTCGTGCTATTCCTAGAGATAGGAA GTTCCTTCGGGACACGGGATACAGGTGGTGCATGGTTGTCGTCAGCTCGTGTCGTGAGATGTTGGG TTAAGTCCCGCAACGAGCGCAACCCCTATTGTTAGTTGCCATCATTAAGTTGGGCACTCTAACGAGAC TGCCGGTGATAAACCGGAGGAAGGTGGGGATGACGTCAAATCATCATGCCCCTTATGACCTGGGCTA CACACGTGCTACAATGGATGGTACAACGAGTCGCGAGACAGTGATGTTTAGCTAATCTCTTAAAACC ATTCTCAGTTCGGATTGTAGGCTGCAACTCGCCTACATGAAGTCGGAATCGCTAGTAATCGCGGATC AGCACGCCGCGGTGAATACGTTCCCGGGCCTTGTACACACCGCCCGTCACACCACGGGAGTTGGGAG TACCCGAAGTAGGTTGCCTAACCGCAAGGAGGGCGCTTCCTAAGGTAAGACCGATGACTGGGGTGAA GTCGTAACAAGGTAGCCGTATCGGAAGG |
Lactobacillus acidophilus (1507 bp, MG557781) CCTGGCTCAGGACGAACGCTGGCGGCGTGCCTAATACATGCAAGTCGAGCGAGCTGAACCAACAGAT TCACTTCGGTGATGACGTTGGGAACGCGAGCGGCGGATGGGTGAGTAACACGTGGGGAACCTGCCC CATAGTCTGGGATACCACTTGGAAACAGGTGCTAATACCGGATAAGAAAGCAGATCGCATGATCAGC TTATAAAAGGCGGCGTAAGCTGTCGCTATGGGATGGCCCCGCGGTGCATTAGCTAGTTGGTAGGGT AACGGCCTACCAAGGCAATGATGCATAGCCGAGTTGAGAGACTGATCGGCCACATTGGGACTGAGAC ACGGCCCAAACTCCTACGGGAGGCAGCAGTAGGGAATCTTCCACAATGGACGAAAGTCTGATGGAGC AACGCCGCGTGAGTGAAGAAGGTTTTCGGATCGTAAAGCTCTGTTGTTGGTGAAGAAGGATAGAGG TAGTAACTGGCCTTTATTTGACGGTAATCAACCAGAAAGTCACGGCTAACTACGTGCCAGCAGCCGCG GTAATACGTAGGTGGCAAGCGTTGTCCGGATTTATTGGGCGTAAAGCGAGCGCAGGCGGAAGAATA AGTCTGATGTGAAAGCCCTCGGCTTAACCGAGGAACTGCATCGGAAACTGTTTTTCTTGAGTGCAGA AGAGGAGAGTGGAACTCCATGTGTAGCGGTGGAATGCGTAGATATATGGAAGAACACCAGTGGCGA AGGCGGCTCTCTGGTCTGCAACTGACGCTGAGGCTCGAAAGCATGGGTAGCGAACAGGATTAGATAC CCTGGTAGTCCATGCCGTAAACGATGAGTGCTAAGTGTTGGGAGGTTTCCGCCTCTCAGTGCTGCAG CTAACGCATTAAGCACTCCGCCTGGGGAGTACGACCGCAAGGTTGAAACTCAAAGGAATTGACGGGG GCCCGCACAAGCGGTGGAGCATGTGGTTTAATTCGAAGCAACGCGAAGAACCTTACCAGGTCTTGAC ATCTAGTGCAATCCGTAGAGATACGGAGTTCCCTTCGGGGACACTAAGACAGGTGGTGCATGGCTGT CGTCAGCTCGTGTCGTGAGATGTTGGGTTAAGTCCCGCAACGAGCGCAACCCTTGTCATTAGTTGCC AGCATTAAGTTGGGCACTCTAATGAGACTGCCGGTGACAAACCGGAGGAAGGTGGGGATGACGTCA AGTCATCATGCCCCTTATGACCTGGGCTACACACGTGCTACAATGGACAGTACAACGAGGAGCAAGCC TGCGAAGGCAAGCGAATCTCTTAAAGCTGTTCTCAGTTCGGACTGCAGTCTGCAACTCGACTGCACG AAGCTGGAATCGCTAGTAATCGCGGATCAGCACGCCGCGGTGAATACGTTCCCGGGCCTTGTACACA CCGCCCGTCACACCATGGGAGTCTGCAATGCCCAAAGCCGGTGGCCTAACCTTCGGGAAGGAGCCGTC TAAGGCAGGGCAGATGACTGGGGTGAAGTCGTAACA |
Escherichia coli (1465 bp, MG557780) GGCGTAAAGGTTAGTCATACCAGTGCAAGTCGACGGTAACAGGAAGAAGCTTGCTTCTTTGCTGACG AGTGGCGGACGGGTGAGTAATGTCTGGGAAACTGCCTGATGGAGGGGGATAACTACTGGAAACGGT AGCTAATACCGCATAACGTCGCAAGACCAAAGAGGGGGACCTTCGGGCCTCTTGCCATCGGATGTGC CCAGATGGGATTAGCTAGTAGGTGGGGTAACGGCTCACCTAGGCGACGATCCCTAGCTGGTCTGAGA GGATGACCAGCCACACTGGAACTGAGACACGGTCCAGACTCCTACGGAAGACAGCAGTGGGGAATAT GACACAACGGGCGCAAGCCTGATGCAGCCATGCCGCGTGTATGAAGAAGGACTCCGGCTGGTAAAGT ACTTTCAGCGGGAAGGAAGGGAGTAAAGTTAATAACGTTGCTCATTGACGTTACCCGCAGAAGAAGC ACCGGCTAACTCCGTGCCAGCAGCCGCGGTAATACGGAGGGGTGCAAGCGTTAATCGGAATTACTGG GCGTAAAGCGCACGCAGGCGGTTTGTTAAAGTCAGATGTGAAATCCCCGGGCTCAACCTGGGAACTG CATCTGATACTGGCAAGCTTGAGTCTCGTAGAGGGGGGGTAGAATTCCAGGTGTAGCGGTGAAATG CGTAGAGATCTGGAGGAATACCGGTGGCGAAGGCGGCCCCCCTGGACGAAGACTGACGCTCAGGTGC GAAAGCGTGGGGAGCAAACAGGATTAGATACCCTGGTAGTCCACGCCGTAAACGATGTCGACTTGG AGGTTGTGCCCTTGAGGCGTGGCTTCCGGAGCTAACGCGTTAAGTCGACCGCCTGGGGAGTACGGC CGCAAGGTTAAAACTCAAATGAATTGACGGGGGCCCGCACAAGCGGTGGAGCATGTGGTTTAATTCG ATGCAACGCGAAGAACCCTTACCTGGTCTTGACATCCACGGAAAGTTTTCAGAGATGAGAATGTGCC TTCCGGAACCGTGAGAACAGGTGCTGCATGGGCTGTCGTCAGCTCGTGTTGTGAAATGTTGGGTTA AGTCCCGCAACGAGGCGCAACCCATATCATTTGTTGCCAGCGGTCCGGCCGGAAACTCAAAGGAGACT GCCAGTGATAAACTGGAGGAAGGTGGGGATGACGTCAAGTCATCATAACCCTTACGACCAGGGCTAC ACACGTGCTACAATGGCGCATACAAAGAGAAGCGACCTCGCGAGAGCAAGCGGACCTCATAAAGTGC GTCGTAGTCCGGATTGGAGTCTGCAACTCGACTCCATGAAGTCGGAATCGCTAGTAATCGTGGATCA GAATGCCACGGTGAATACGTTCCCGGGCCTTGTACACACCGCCCGTCACACCATGGGAGTGGGTTGC AAAAGAAGTAGGTAGCTTAACCTTCGGGAGGGCGCTCTCCCAATAGGGGGTATGGAATTCCG |
Staphylococcus aureus (1476 bp, MG557784) AGGATGAACGCTGGCGGCGTGCCTAATACATGCAAGTCGAGCGAACGGACGAGAAGCTTGCTTCTCT GATGTTAGCGGCGGACGGGTGAGTAACACGTGGATAACCTACCTATAAGACTGGGATAACTTCGGG AAACCGGAGCTAATACCGGATAATATTTTGAACCGCATGGTTCAAAAGTGAAAGACGGTCTTGCTGT CACTTATAGATGGATCCGCGCTGCATTAGCTAGTTGGTAAGGTAACGGCTTACCAAGGCAACGATGC ATAGCCGACCTGAGAGGGTGATCGGCCACACTGGAACTGAGACACGGTCCAGACTCCTACGGGAGGC AGCAGTAGGGAATCTTCCGCAATGGGCGAAAGCCTGACGGAGCAACGCCGCGTGAGTGATGAAGGTC TTCGGATCGTAAAACTCTGTTATTAGGGAAGAACATATGTGTAAGTAACTGTGCACATCTTGACGGT ACCTAATCAGAAAGCCACGGCTAACTACGTGCCAGCAGCCGCGGTAATACGTAGGTGGCAAGCGTTA TCCGGAATTATTGGGCGTAAAGCGCGCGTAGGCGGTTTTTTAAGTCTGATGTGAAAGCCCACGGCTC AACCGTGGAGGGTCATTGGAAACTGGAAAACTTGAGTGCAGAAGAGGAAAGTGGAATTCCATGTGT AGCGGTGAAATGCGCAGAGATATGGAGGAACACCAGTGGCGAAGGCGACTTTCTGGTCTGTAACTG ACGCTGATGTGCGAAAGCGTGGGGATCAAACAGGATTAGATACCCTGGTAGTCCACGCCGTAAACGA TGAGTGCTAAGTGTTAGGGGGTTTCCGCCCCTTAGTGCTGCAGCTAACGCATTAAGCACTCCGCCTG GGGAGTACGACCGCAAGGTTGAAACTCAAAGGAATTGACGGGGACCCGCACAAGCGGTGGAGCATGT GGTTTAATTCGAAGCAACGCGAAGAACCTTACCAAATCTTGACATCCTTTGACAACTCTAGAGATAGA GCCTTCCCCTTCGGGGGACAAAGTGACAGGTGGTGCATGGTTGTCGTCAGCTCGTGTCGTGAGATG TTGGGTTAAGTCCCGCAACGAGCGCAACCCTTAAGCTTAGTTGCCATCATTAAGTTGGGCACTCTAA GTTGACTGCCGGTGACAAACCGGAGGAAGGTGGGGATGACGTCAAATCATCATGCCCCTTATGATTT GGGCTACACACGTGCTACAATGGACAATACAAAGGGCAGCGAAACCGCGAGGTCAAGCAAATCCCATA AAGTTGTTCTCAGTTCGGATTGTAGTCTGCAACTCGACTACATGAAGCTGGAATCGCTAGTAATCGT AGATCAGCATGCTACGGTGAATACGTTCCCGGGTCTTGTACACACCGCCCGTCACACCACGAGAGTTT GTAACACCCGAAGCCGGTGGAGTAACCTTTTAGGAGCTAGCCGTCGAAGGTGGGACAAATGATTGG GGTG |
Source: Paper authors original work.
The BLAST of these sequences showed almost 100% similarities with the same species retrieved, 100% for B. coagulans, 99% for L. fermentum, 100% for L. lactis, 99% for E. coli, and100% for S. aureus Table 6.
Table-6. BLAST identification of 16S r-RNA gene sequences of subjected and retrieved bacterial species with their Gen Bank accession numbers.
Queried sequences |
Author, Country and Accession Number |
I (%) |
G (%) |
M.S |
Retrieved/ Matched species |
Author, Country and Accession Number |
Bacillus coagulans |
Paper authors, India MG557779 |
100 |
0 |
Plus |
Bacillus coagulans |
Tanaka et al. (2007) Japan AB362709 |
Lactobacillus fermentum |
Paper authors, India MG557782 |
99 |
0 |
Plus |
Lactobacillus fermentum |
Kang (2017) Korea CP016803 |
Lactococcus lactis |
Paper authors, India MG557783 |
100 |
0 |
Plus |
Lactococcus lactis |
Linares (2014) Netherlands CP002094 |
Lactobacillus acidophilus |
Paper authors, India MG557781 |
100 |
0 |
Plus |
Lactobacillus acidophilus |
|
Escherichia coli |
Paper authors, India MG557780 |
100 |
0 |
Plus |
Escherichia coli |
Hagaggi (2017) Egypt KY906967 |
Staphylococcus aureus |
Paper authors, India MG557784 |
100 |
0 |
Plus |
Staphylococcus aureus |
Yamamoto and Wan (2017) Japan AP017891 |
Source: Paper authors original work, and retrieved from NCBI data base.
The MAS showed 920 identical amino acids residues, 119 similar amino acids residues and 461 variable amino acids sites Figure 3.

Figure-3. Multiple sequence alignment of 16S r-RNA gene sequences of bacterial species identified in the gut of M. rosenbergii PL fed with B. coagulans incorporated diet. Multiple align show (MAS) with coloured background (identical residues are indicated by amino acid colour and similar residues are black in colour. Gaps and other residues are given in white background).
The nucleotide composition showed more GC biases (51.2-56.2%) and less AT biases (29.2-31.9%), minimum in S. aureus and maximum in B. coagulans Table 7. The lower AT bias recorded indicates the less abundance of nuclear copies of mt-DNA (NUMTs) known as pseudogenes, homologs or paralogs.
Table-7. 16S r-RNA nucleotide composition of bacterial species identified in the gut of M. rosenbergii PL fed with B. coagulans incorporated diet.
Name of the species |
T |
A |
C |
G |
AT |
GC |
Bacillus coagulans |
19.4 |
24.4 |
43.8 |
24.3 |
31.9 |
56.2 |
Lactobacillus fermentum |
21.5 |
25.4 |
46.9 |
22.9 |
30.1 |
53.1 |
Lactobacillus acidophilus |
20.3 |
25.9 |
46.3 |
23.0 |
30.8 |
53.7 |
Lactococcus lactis |
21.6 |
27.0 |
48.6 |
21.3 |
30.1 |
51.4 |
Escherichia coli |
19.5 |
25.9 |
45.4 |
23.0 |
31.6 |
54.6 |
Staphylococcus aureus |
21.7 |
27.1 |
48.8 |
22.0 |
29.2 |
51.2 |
Avg. |
20.7 |
26.0 |
46.6 |
22.7 |
30.6 |
53.4 |
Source: Paper authors original work.
The mean divergent rate of different combinations of these bacterial species was 1.265 with a maximum of 2.365 (between B. coagulans vs. S. aureus) and minimum of 0.889 (between S. aureus vs. L. acidophilus) Table 8; Figure 4.
It has been reported >1% intra genus and 0.3% intra species 16S rRNA heterogeneity in filamentous marine cyanobacteria (Engene et al., 2010; Engene and Gerwick, 2011). However, Pei et al. (2010) reported that E. coli is known to have high intra-specific variation (1.10 %) between multiple 16S rRNA genes in the genome. A high degree of intra-genomic variation has been reported in Lactobacillus rhamnosus (0–7.67%), Caldanaerobacter subterraneus (0.03–6.23%), Desulfitobacterium hafniense (0.06–3.73 %), Bacteroides ovatus (0.07–3.30 %), Yersinia enterocolitica (0–2.67 %) and Desulfitobacterium dehalogenans (0–2.14 %) 16S rRNA gene copies (Engene and Gerwick, 2011).
Table-8. 16S r-RNA nucleotide divergence of bacterial species identified in the gut of M. rosenbergii PL fed with B. coagulans incorporated diet.
Between Species |
Divergence (%) |
Bacillus coagulans vs. Lactobacillus fermentum |
1.432 |
Bacillus coagulans vs. Escherichia coli |
1.197 |
Lactobacillus fermentum vs. Escherichia coli |
1.054 |
Bacillus coagulans vs. Lactococcus lactis |
0.935 |
Lactobacillus fermentum vs. Lactococcus lactis |
1.432 |
Escherichia coli vs. Lactococcus lactis |
1.008 |
Bacillus coagulans vs. Staphylococcus aureus |
2.365 |
Lactobacillus fermentum vs. Staphylococcus aureus |
1.487 |
Escherichia coli vs. Staphylococcus aureus |
0.962 |
Lactococcus lactis vs. Staphylococcus aureus |
0.943 |
Bacillus coagulans vs. Lactobacillus acidophilus |
1.265 |
Lactobacillus fermentum vs. Lactobacillus acidophilus |
1.248 |
Escherichia coli vs. Lactobacillus acidophilus |
1.035 |
Lactococcus lactis vs. Lactobacillus acidophilus |
1.73 |
Staphylococcus aureus vs. Lactobacillus acidophilus |
0.889 |
Average |
1.265 |

Figure-4. 16S r-RNA nucleotide divergence of bacterial species identified in the gut of M. rosenbergii PL fed with B. coagulans incorporated diet.
The non-synonymous (Ka) substitution was higher (2.243) than that of synonymous (Ks) substitution (0.621), which indicates the possibility of occurrence of more deleterious mutation and less silent mutation. Similarly, the transversional (Tv) substitution was higher (0.14) than that of transitional (Ts) (0.13), which indicates the fact that these sequences have more phylogenetic information. However, saturation was not occurred in these sequences, which was confirmed by the predicted higher critical value of index of substitution saturation (Iss.c), 0.813 than that of index of substitution saturation (Iss), 0.318, and therefore more phylogenetic differences existed between sequences Table 9; Figure 5.
Most animal species are un-described. In phylogeny of life forms, generally there are three clades, each with different clusters. They are (1) archaea (single celled microorganism, the prokaryotes, their cell wall does not contain peptidoglycan, the cell membrane have ether linked lipids), (2) bacteria (the first life form appeared on earth, their cell wall contain peptidoglycan and the cell membrane have ester linked lipids), and (3) eukaryota (consisted of all the multicellular organisms having nucleus surrounded by nuclear membrane).
Substitutional saturation decreases phylogenetic information (Lopez et al., 1999; Xia et al., 2003). When the sequences have experienced full substitution saturation, the similarity between the sequences will depend entirely on the similarity in nucleotide frequencies (Steel et al., 1993; Xia et al., 2003) which often does not reflect phylogenetic relationships. Similar information has also been reported by us in crabs, prawns and planktons of freshwater and marine species (Rajkumar et al., 2015; Udayasuriyan et al., 2015; Bhavan et al., 2015;2016;2017). Figure 6.
Table-9. Phylogenetic information of bacterial species identified (based on 16S r-RNA) in the gut of M. rosenbergii PL fed with B. coagulans incorporated diet.
Phylogenetic information |
Ks |
Ka |
Ka-Ks |
Ts |
Tv |
Tv-Ts |
Iss |
Iss.c |
Iss.c-Iss |
Subjected species |
0.621 |
2.243 |
1.622 |
0.13 |
0.14 |
0.01 |
0.318 |
0.813 |
0.495 |
Ks, Synonymous substitution; Ka, Non-synonymous substitution; Ts, Transitional substitution; Tv, Transversional substitution; Iss, Index of substitution saturation; Iss.c, Critical value of index of substitution saturation.

A). Number of synonymous (Ks) and non-synonymous (Ka) substitutions occurred at 3rd codon position in nucleotides of 16S r-RNA gene partial sequences of bacterial diversity identified in the gut of M. rosenbergii PL fed with B. coagulans incorporated diet

B. Scattergram of transitional (X, blue) and transversional (∆, green) type substitutions occurred in 16S r-RNA gene partial sequences of bacterial diversity identified in the gut of M. rosenbergii PL fed with B. coagulans incorporated diet
Figure-5. Synonymous (Ks) and non-synonymous (Ka), transitional (X, blue) and transversional (∆, green) substitutions occurred in16S r-RNA partial gene sequences of bacterial species identified in the gut of M. rosenbergii PL fed with B. coagulans incorporated diet.
Based on the divergence value, the phylogenetic tree topologies revealed discrimination between identified bacterial species in the gut of M. rosenbergii PL.

Figure-6. 16S r-RNA based phylogenetic tree topology of bacterial species identified in the gut of M. rosenbergii PL fed with B. coagulans incorporated diet
In B. coagulans incorporated feed fed M. rosenbergii PL gut, the bacterial diversity identified using 16S rRNA revealed presence of six dominant bacteria, B. coagulans, L. fermentum, L. acidophilus L. lactis, E. coli andS. aureus. They showed 99-100% similarity with B. coagulans, L. fermentum, L. acidophilus L. lactis, E. coli andS. aureus, respectively available with NCBI-GenBank data base. Therefore, the identified 16S rRNA sequences of these bacterial species are accurate. The authenticated sequences of these bacteria showed more numbers of identical amino acid residues than variable amino acid sites, and such a variation fixed the phylogenetic tree type.
| Funding: This study received no specific financial support. |
| Competing Interests: The authors declare that they have no competing interests. |
| Contributors/Acknowledgement: All authors contributed equally to the conception and design of the study. |
Arisa, I.I., W. Widanarni, M. Yuhana, Z.A. Muchlisin and A.A. Muhammadar, 2015. The application of probiotics, prebiotics and synbiotics to enhance the immune responses of vannamei shrimp (Litopenaeus Vannamei) to vibrio harveyi infection. Aquaculture, Aquarium, Conservation & Legislation, 8(5): 772-778.
Bernal, M.G., R.M. Marrero, Á.I. Campa-Córdova and J.M. Mazón-Suástegui, 2017. Probiotic effect of streptomyces strains alone or in combination with bacillus and lactobacillus in juveniles of the white shrimp litopenaeus vannamei. Aquaculture International, 25(2): 927-939.Available at: https://doi.org/10.1007/s10499-016-0085-y.
Bhavan, P.S., S. Umamaheswari, R. Udayasuriyan, G. Rajkumar, H. Amritha and K. Saranya, 2015;2016;2017. Discrimination of two freshwater crabs spiralothelphusa hydrodroma and Barytelphusa jacquemontii and one mangrove crab neosarmatium asiaticum by DNA barcoding of MT-COI gene. Journal of Chemical, Biological and Physical Sciences, 5(2): 1426–1440.
Bhavani, M., C. Suneetha and M. Naidu, 2015. Srinivasulu reddy. Monitoring the effect of water and feed probiotics on the growth potentials in the freshwater prawn macrobrachium rasenbergii. International Journal of Fisheries and Aquaculture Sciences, 5(1): 59-70.
Chelladurai, G., M. Karthigarani and I. Vijayakumar, 2015. Inhibitory activity against shrimp pathogens of bacterial isolates from shrimp food, shrimp gut, seawater and seaweed. International Journal of Marine Science, 5(37): 1–5.Available at: https://doi.org/10.5376/ijms.2015.05.0037.
Chen, C.-Y., P.-C. Chen, F.C.-H. Weng, G.T.-W. Shaw and D. Wang, 2017. Habitat and indigenous gut microbes contribute to the plasticity of gut microbiome in oriental river prawn during rapid environmental change. PloS One, 12(7): e0181427.Available at: https://doi.org/10.1371/journal.pone.0181427.
Cui, J., M. Xiao, M. Liu, Z. Wang, F. Liu, L. Guo, H. Meng, H. Zhang, J. Yang and D. Deng, 2017. Coupling metagenomics with cultivation to select host-specific probiotic micro-organisms for subtropical aquaculture. Journal of Applied Microbiology, 123(5): 1274-1285.Available at: https://doi.org/10.1111/jam.13555.
Das, S., P. Lyla and S.A. Khan, 2006. Application of streptomyces as a probiotic in the laboratory culture of penaeus monodon fabricius. Israeli Journal of Aquaculture–Bamidgeh, 58(3): 198-204.
Das, S., K. Mondal and S. Haque, 2017. A review on application of probiotic, prebiotic and synbiotic for sustainable development of aquaculture. Journal of Entomology and Zoology Studies, 5(2): 422–429.
Dayal, J.S., A.G. Ponniah, K.H. Imran and B. Ebin, 2013. Food value of shrimp. Chennai, India: In 9th Indian Fisheries Forum- Renaissance in Fisheries: Hosted by Central Marine Fisheries Institute. pp: 1–72.
Deeseenthum, S., V. Leelavatcharamas and J. Brookes, 2007. Effect of feeding Bacillus sp. as probiotic bacteria on growth of giant freshwater prawn (Macrobrachium Rosenbergii de Man). Pakistan Journal of Biological Sciences, 10(9): 1481-1485.Available at: https://doi.org/10.3923/pjbs.2007.1481.1485.
Engene, N., R.C. Coates and W.H. Gerwick, 2010. 16S rRNA gene heterogeneity in the filamentous marine cyanobacterial genus lyngbya. Journal of Phycology, 46(3): 591–601.Available at: https://doi.org/10.1111/j.1529-8817.2010.00840.x.
Engene, N. and W.H. Gerwick, 2011. Intra-genomic 16S rRNA gene heterogeneity in cyanobacterial genomes. Fottea, 11(1): 17 -24.Available at: https://doi.org/10.5507/fot.2011.003.
FAO, 2018. The state of food security and nutrition in the world 2018. Building climate resilience for food security and nutrition. Rome: FAO.
Felsenstein, J., 1981. Evolutionary trees from DNA sequences: A maximum likelihood approach. Journal of Molecular Evolution, 17(6): 368-376.Available at: https://doi.org/10.1007/bf01734359.
Fu, L., J. Song, C. Wang, S. Fu and Y. Wang, 2017. Bifidobacterium infantis potentially alleviates shrimp tropomyosin-induced allergy by tolerogenic dendritic cell-dependent induction of regulatory T cells and alterations in gut microbiota. Frontiers in Immunology, 8: 1536-1536.Available at: https://doi.org/10.3389/fimmu.2017.01536.
Ghosh, A.K., J. Bir, M.A.K. Azad, A.F.M. Hasanuzzaman, M.S. Islam and K.A. Huq, 2016. Impact of commercial probiotics application on growth and production of giant fresh water prawn (Macrobrachium rosenbergii De Man, 1879). Aquaculture Reports, 4: 112-117.Available at: https://doi.org/10.1016/j.aqrep.2016.08.001.
Gullian, M., F. Thompson and J. Rodriguez, 2004. Selection of probiotic bacteria and study of their immunostimulatory effect in penaeus vannamei. Aquaculture, 233(1-4): 1-14.Available at: https://doi.org/10.1016/j.aquaculture.2003.09.013.
Hagaggi, N.A., 2017. Escherichia coli strain Mob3 16S ribosomal RNA gene, partial sequence, Published Only in Database (NCBI).
Hasan, B.M.A., B. Guha and S. Datta, 2012. Efficacy of probiotics on growth and sustainable production of black tiger shrimp, Penaeus monodon fabricius 1798 in brackish water ponds of West Bengal, India. Asian Fisheries Science, 25(4): 303–316.
Hassaan, M., M. Soltan and M. Ghonemy, 2014. Effect of synbiotics between bacillus licheniformis and yeast extract on growth, hematological and biochemical indices of the Nile tilapia (Oreochromis niloticus). The Egyptian Journal of Aquatic Research, 40(2): 199-208.Available at: https://doi.org/10.1016/j.ejar.2014.04.001.
Hou, D., S. Zeng, J. Liu, M. Yan, S. Weng, J. He and Z. Huang, 2016. Characterization of prokaryotic and eukaryotic microbial community in pacific white shrimp ponds. Journal of Aquaculture Research & Development, 7(12): 463-472.Available at: https://doi.org/10.4172/2155-9546.1000463.
Kang, D.K., 2017. Complete genome analysis of Lactobacillus fermentum SK152 Revealed Genes Associated with Potential Antimicrobial Property, Unpublished (NCBI).
Karthik, M. and B.P. Saravana, 2018. Supplementation of Lactobacillus brevis for growth promotion of the freshwater prawn Macrobrachium rosenbergii post larvae and identification of gut microflora through 16S r-DNA. Research Journal of Biotechnology, 13(1): 34–50.
Karthik, M., B.P. Saravana, V. Seenivasan, A. Asaikkutti, T. Muralisankar and Mahendran, 2018. Dietary supplementation of Lactobacillus fermentum for improving the survival, growth and nutritional profiles of the prawn Macrobrachium rosenbergii, and 16S rDNA based identification of its establishment. Scholar Reports, 3(1): 38–62.
Korada, S.K. and N.S. Yarla, 2014. Probiotics: A promoter for aqua farming. Journal of Marine Science: Research & Development, 4(2): 1.Available at: https://doi.org/10.4172/2155-9910.1000e128.
Lakshmi, B., B. Viswanath and D.G. Sai, 2013. Probiotics as antiviral agents in shrimp aquaculture. Journal of Pathogens, 2013: 1-13.Available at: https://doi.org/10.1155/2013/424123.
Le, D.H., N.T. Nguyen, O.H.T. Dang, G. Steinert, T.T. Tran, T.H. Vu, D. Sipkema and H.H. Chu, 2018. Characterization of bacterial community in the gut of penaeus monodon and its culture water in shrimp ponds. Turkish Journal of Fisheries and Aquatic Sciences, 9(11): 1-16.Available at: http://doi.org/10.4194/1303-2712-v19_1109 .
Li, E., X. Wang, K. Chen, C. Xu, J.G. Qin and L. Chen, 2017. Physiological change and nutritional requirement of pacific white shrimp litopenaeus vannamei at low salinity. Reviews in Aquaculture, 9(1): 57-75.Available at: https://doi.org/10.1111/raq.12104.
p
Li, E., C. Xu, X. Wang, S. Wang, Q. Zhao, M. Zhang, J.G. Qin and L. Chen, 2018. Gut microbiota and its modulation for healthy farming of pacific white shrimp litopenaeus vannamei. Reviews in Fisheries Science & Aquaculture, 26(3): 381-399.Available at: https://doi.org/10.1080/23308249.2018.1440530.
Linares, D.M., 2014. Genome sequences of Lactococcus lactis MG1363 (revised) and NZ9000 and comparative physiological studies. Journal of Bacteriology, 192(21): 5806–5812.
Lopez, P., P. Forterre and H. Philippe, 1999. The root of the tree of life in the light of the covarion model. Journal of Molecular Evolution, 49(4): 496–508.Available at: https://doi.org/10.1007/pl00006572.
Luis-Villaseñor, I.E., D. Voltolina, B. Gomez-Gil, F. Ascencio, Á.I. Campa-Córdova, J.M. Audelo-Naranjo and O.O. Zamudio-Armenta, 2015. Probiotic modulation of the gut bacterial community of juvenile Litopenaeus vannamei challenged with vibrio parahaemolyticus CAIM 170/Modulacion por probioticos de la comunidad bacteriana intestinal de juveniles de litopenaeus vannamei infectados con Vibrio parahaemolyticus CAIM 170. Latin American Journal of Aquatic Research, 43(4): 766-776.Available at: 10.3856/vol43-issue4-fulltext-15.
Maliwat, G.C., S. Velasquez, J.L. Robil, M. Chan, R.F. Traifalgar, M. Tayamen and J.A. Ragaza, 2016. Growth and immune response of giant freshwater prawn Macrobrachium rosenbergii (De Man) post larvae fed diets containing Chlorella vulgaris (Beijerinck). Aquaculture Research: 1–11.Available at: https://doi.org/10.1111/are.13004.
Manjula, S., B.P. Saravana, M. Karthik, D. Anitha, R. Kalpana and T. Manjula, 2018. Survival, growth, activities of digestive enzymes, concentrations of basic biochemical constituents and competitive exclusion of pathogenic bacteria in Bacillus coagulans supplemented diet fed Macrobrachium rosenbergii post-larvae. International Journal of Research Studies in Science, Engineering and Technology, 5(12): 9–22.
Mohapatra, S., T. Chakraborty, A. Prusty, P. Das, K. Paniprasad and K. Mohanta, 2012. Use of different microbial probiotics in the diet of rohu, labeo rohita fingerlings: Effects on growth, nutrient digestibility and retention, digestive enzyme activities and intestinal microflora. Aquaculture Nutrition, 18(1): 1-11.Available at: https://doi.org/10.1111/j.1365-2095.2011.00866.x.
Muse, S.V. and B.S. Gaut, 1994. A likelihood approach for comparing synonymous and nonsynonymous nucleotide substitution rates, with application to the chloroplast genome. Molecular Biology and Evolution, 11(5): 715-724.
Nam, Y.D., 2017. Complete genome sequence of Lactobacillus acidophilus LA1. (NCBI Database).
Nayak, S., 2010. Probiotics and immunity: A fish perspective. Fish & Shellfish Immunology, 29(1): 2-14.Available at: https://doi.org/10.1016/j.fsi.2010.02.017.
Ngo, H., T. Nguyen, Q. Nguyen, A. Tran, H. Do, A. Nguyen, T.N. Phan and A. Nguyen, 2016. Screening of pigmented bacillus aquimaris SH 6 from the intestinal tracts of shrimp to develop a novel feed supplement for shrimp. Journal of Applied Microbiology, 121(5): 1357-1372.Available at: https://doi.org/10.1111/jam.13274.
Olmos, J., L. Ochoa, J. Paniagua-Michel and R. Contreras, 2011. Functional feed assessment on litopenaeus vannamei using 100% fish meal replacement by soybean meal, high levels of complex carbohydrates and bacillus probiotic strains. Marine Drugs, 9(6): 1119-1132.Available at: https://doi.org/10.3390/md9061119.
Pei, A.Y., W.E. Oberdorf, C.W. Nossa, A. Agarwal, P. Chokshi, E.A. Gerz, Z. Jin, P. Lee, L. Yang and M. Poles, 2010. Diversity of 16S rRNA genes within individual prokaryotic genomes. Applied and Environmental Microbiology, 76(12): 3886-3897.Available at: https://doi.org/10.1128/aem.02953-09.
Prasad, S.V.N. and M.S. Reddy, 2016. Enhancement of growth potential in freshwater prawn macrobrachium rosenbergii with usage of water and feed probiotics in the culture operation. International Journal of Fisheries and Aquatic Studies, 4(5): 114–122.
Rajkumar, G., B.P. Saravana, R. Udayasuriyan and C. Vadivalagan, 2015. Molecular identification of shrimp species, penaeus semisulcatus, metapenaeus dobsoni, metapenaeus brevicornis, fenneropenaeus indicus, parapenaeopsis stylifera and solenocera crassicornis inhabiting in the coromandel coast (Tamil Nadu, India) using MT-COI gene. International Journal of Fisheries and Aquatic Studies, 2(4): 96–106.
Ramirez, C. and J. Romero, 2017. Fine flounder (Paralichthys adspersus) microbiome showed important differences between wild and reared specimens. Frontiers in Microbiology, 8: 271–282.Available at: https://doi.org/10.3389/fmicb.2017.00271.
Ravi, A., K. Musthafa, G. Jegathammbal, K. Kathiresan and S. Pandian, 2007. Screening and evaluation of probiotics as a biocontrol agent against pathogenic vibrios in marine aquaculture. Letters in Applied Microbiology, 45(2): 219-223.Available at: https://doi.org/10.1111/j.1472-765x.2007.02180.x.
Rengpipat, S., S. Rukpratanporn, S. Piyatiratitivorakul and P. Menasaveta, 2000. Immunity enhancement in black tiger shrimp (Penaeus monodon) by a probiont bacterium (Bacillus S11). Aquaculture, 191(4): 271-288.Available at: https://doi.org/10.1016/s0044-8486(00)00440-3.
Roomiani, L., S. Ahmadi and M. Ghaeni, 2018. Immune response and disease resistance in the white shrimp, litopenaeus vannamei induced by potential probiotic lactobacillus bulgaricus. Ankara University Faculty of Veterinary Medicine Journal, 65(3): 323-329.Available at: https://doi.org/10.1501/vetfak_0000002863.
Rungrassamee, W., A. Klanchui, S. Maibunkaew, S. Chaiyapechara, P. Jiravanichpaisal and N. Karoonuthaisiri, 2014. Characterization of intestinal bacteria in wild and domesticated adult black tiger shrimp (Penaeus monodon). PloS One, 9(3): e91853-e91853.Available at: https://doi.org/10.1371/journal.pone.0091853.
Sakkaravarthi, K., G. Sankar and K. Ramamoorthy, 2011. Impact of gut probiotics bacillus sp with minerals on biochemical profile of vibriosis infected shrimp Penaeus monodon (Fabricius). Middle-East Journal of Scientific Research, 7(1): 87-90.
Sambrook, J., E.F. Fritschi and T. Maniatis, 1989. Molecular cloning: A laboratory manual. New York: Cold Spring Harbor Laboratory Press.
Sánchez-Ortiz, A., A. Luna-González, A. Campa-Córdova, R. Escamilla-Montes, M.C. Flores-Miranda and J. Mazón-Suástegui, 2015. Isolation and characterization of potential probiotic bacteria from pustulose ark (Anadara tuberculosa) suitable for shrimp farming. Latin American Journal of Aquatic Research, 43(1): 123–136.Available at: https://doi.org/10.3856/vol43-issue1-fulltext-11.
Scholz, U., G.G. Diaz, D. Ricque, L.C. Suarez, F.V. Albores and J. Latchford, 1999. Enhancement of vibriosis resistance in juvenile penaeus vannamei by supplementation of diets with different yeast products. Aquaculture, 176(3-4): 271-283.Available at: https://doi.org/10.1016/s0044-8486(99)00030-7.
Sha, Y., M. Liu, B. Wang, K. Jiang, C. Qi and L. Wang, 2016. Bacterial population in intestines of litopenaeus vannamei fed different probiotics or probiotic supernatant. Journal of Microbiology and Biotechnology, 26(10): 1736-1745.Available at: https://doi.org/10.4014/jmb.1603.03078.
Sivakumar, N., M. Sundararaman and G. Selvakumar, 2012. Probiotic effect of Lactobacillus acidophilus against vibriosis in juvenile shrimp (Penaeus monodon). African Journal of Biotechnology, 11(91): 15811-15818.Available at: https://doi.org/10.5897/ajb12.1328.
Steel, M.A., P.J. Lockhart and D. Penny, 1993. Confidence in evolutionary trees from biological sequence data. Nature, 364(6436): 440-442.Available at: https://doi.org/10.1038/364440a0.
Swapna, B., C. Venkatrayulu and A.V. Swathi, 2015. Effect of probiotic bacteria bacillus licheniformis and Lactobacillus rhamnosus on growth of the pacific white shrimp Litopenaeus vannamei (Boone, 1931). European Journal of Experimental Biology, 5(11): 31–36.
Tanaka, N., M. Nakano and S. Okada, 2007. 16S rRNA gene sequences of NRIC Lactic Acid Bacteria strains. (NCBI Database).
Tang, Y., P. Tao, J. Tan, H. Mu, L. Peng, D. Yang, S. Tong and L. Chen, 2014. Identification of bacterial community composition in freshwater aquaculture system farming of litopenaeus vannamei reveals distinct temperature-driven patterns. International Journal of Molecular Sciences, 15(8): 13663-13680.Available at: https://doi.org/10.3390/ijms150813663.
Udayasuriyan, R., B.P. Saravana, C. Vadivalagan and G. Rajkumar, 2015. Efficiency of different COI markers in DNA barcoding of freshwater prawn species. Journal of Entomology and Zoology Studies, 3(3): 98–110.
Van Hai, N. and R. Fotedar, 2010. A review of probiotics in shrimp aquaculture. Journal of Applied Aquaculture, 22(3): 251-266.Available at: https://doi.org/10.1080/10454438.2010.500597.
Vargas-Albores, F., M.A. Porchas-Cornejo, M. Martínez-Porchas, E. Villalpando-Canchola, T. Gollas-Galván and L.R. Martínez-Córdova, 2017. Bacterial biota of shrimp intestine is significantly modified by the use of a probiotic mixture: A high throughput sequencing approach. Helgoland Marine Research, 71(1): 5-5.Available at: https://doi.org/10.1186/s10152-017-0485-z.
Vieira, F.d.N., A. Jatobá, J.L.P. Mouriño, C.C. Buglione Neto, J.S.d. Silva, W.Q. Seiffert, M. Soares and L.A. Vinatea, 2016. Use of probiotic-supplemented diet on a pacific white shrimp farm. Brazilian Journal of Animal Science, 45(5): 203-207.Available at: https://doi.org/10.1590/s1806-92902016000500001.
Wu, S., T. Gao, Y. Zheng, W. Wang, Y. Cheng and G. Wang, 2010. Microbial diversity of intestinal contents and mucus in yellow catfish (Pelteobagrus Fulvidraco). Aquaculture, 303(1-4): 1-7.Available at: https://doi.org/10.1016/j.aquaculture.2009.12.025.
Xia, X., 2013. DAMBE5: A comprehensive software package for data analysis in molecular biology and evolution. Molecular Biology and Evolution, 30(7): 1720-1728.Available at: https://doi.org/10.1093/molbev/mst064.
Xia, X. and P. Lemey, 2009. Assessing substitution saturation with DAMBE. Philippe Lemey, Marco Salemi and Anne-Mieke Vandamme. USA: Cambridge University.
Xia, X., Z. Xie, M. Salemi, L. Chen and Y. Wang, 2003. An index of substitution saturation and its application. Molecular Phylogenetics and Evolution, 26(1): 1-7.Available at: https://doi.org/10.1016/s1055-7903(02)00326-3.
Yamamoto, T. and T.W. Wan, 2017. Genomic comparison between Staphylococcus aureus GN strains clinically isolated from a familial infection case: IS1272 transposition through a novel inverted repeat-replacing mechanism. Medical Education and Research Center, Department of Epidemiology, Genomics, and Evolution; Fukusumi-Bldg. II 1(8): 6-12.
Yan, Q., J. Li, Y. Yu, J. Wang, Z. He, J.D. Van Nostrand, M.L. Kempher, L. Wu, Y. Wang and L. Liao, 2016. Environmental filtering decreases with fish development for the assembly of gut microbiota. Environmental Microbiology, 18(12): 4739-4754.Available at: https://doi.org/10.1111/1462-2920.13365.
Yang, Y.D., X.H. Yang, W.C. Xie, S. Wu, H.W. Ji, S.C. Liu, W.J. Mao and C.Y. Li, 2015. Screening and identification of protease- producing bacteria from the intestines of maricultured litopenaeus vannamei. The Journal of Food Science and Technology, 31(1): 131–136.
Yao, Z., P. Zhou, B. Su, S. Su, L. Ye and H. Yu, 2018. Enhanced isoprene production by reconstruction of metabolic balance between strengthened precursor supply and improved isoprene synthase in saccharomyces cerevisiae. ACS Synthetic Biology, 7(9): 2308-2316.Available at: https://doi.org/10.1021/acssynbio.8b00289.
Zarif, B.R. and M. Azin, 2014. Identifying probiotics of macrobrachium rosenbergii’s intestine micro flora and their effect in prawn’s growth and survival. Advances in Life Sciences, 4(3): 123–130.Available at: 10.5923/j.als.20140403.05.
Zeng, S., Z. Huang, D. Hou, J. Liu, S. Weng and J. He, 2017. Composition, diversity and function of intestinal microbiota in pacific white shrimp (Litopenaeus vannamei) at different culture stages. Peer Journal, 5: e3986-e3986.Available at: https://doi.org/10.7717/peerj.3986.
Zhang, D., F. Wang, S. Dong and Y. Lu, 2016. De novo assembly and transcriptome analysis of osmoregulation in litopenaeus vannamei under three cultivated conditions with different salinities. Gene, 578(2): 185-193.Available at: https://doi.org/10.1016/j.gene.2015.12.026.
Zokaeifar, H., J.L. Balcázar, C.R. Saad, M.S. Kamarudin, K. Sijam, A. Arshad and N. Nejat, 2012. Effects of bacillus subtilis on the growth performance, digestive enzymes, immune gene expression and disease resistance of white shrimp, litopenaeus vannamei. Fish & Shellfish Immunology, 33(4): 683-689.Available at: https://doi.org/10.1016/j.fsi.2012.05.027.
Zoqratt, M.Z.H., W.W.H. Eng, B.T. Thai, C.M. Austin and H.M. Gan, 2018. Microbiome analysis of pacific white shrimp gut and rearing water from Malaysia and Vietnam: Implications for aquaculture research and management. Peer Journal, 6: 58–26.Available at: https://doi.org/10.7717/peerj.5826.
Views and opinions expressed in this article are the views and opinions of the author(s), The International Journal of Biotechnology shall not be responsible or answerable for any loss, damage or liability etc. caused in relation to/arising out of the use of the content. |