Index

Abstract

Hibiscus sabdariffa is a species of Hibiscus in the Malvaceae family. Hibiscus sabdariffa is widely consumed as Zobo drink beverage in Nigeria with many health benefits, and it is believed that the brilliant reddish coloration of methanolic extract of this plant’s calyx may have a staining effect on thin blood smear. Hence, this study aims to examine the staining effect of methanolic extract of Hibiscus sabdariffa calyx on thin peripheral blood films in other to obtain more surrogates for hematological stains. Dried calyx of Hibiscus sabdariffa was obtained commercially from Yola. The calyces were pulverized to fine powder and 10g of the powder was soaked in 50ml of absolute methanol for 12hours to obtain methanolic extract. PH of the extract was determined using PH meter.  The methanolic extract was used to stain thin peripheral blood smear. Results: Raw methanolic extract of Hibiscus sabdariffa calyxhad pH of 1. The extract produces poor staining effect and impacted a pale pinkish-orange appearance on the red blood cells with pseudo large central pallor microscopically. While field stain and Leishman stain produces a dark pink coloration with normal pallor on the red cell. Raw methanolic extract of Hibiscus sabdariffa calyx was acidic and it impacted a poor pale pinkish-orange coloration with pseudo large pallor on red blood cell in thin peripheral blood smear. More research to get a molar equilibrium of acidic and basic substances in this plant’s calyx extract is recommended in other to obtain more cost effective surrogates for good hematological stains.

Keywords: Thin blood smear, Hibiscus sabdariffa calyx.

Received:  9 October 2018 / Revised: 14 November 2018 / Accepted: 19 December 2018/ Published: 4 February 2019

Contribution/ Originality

This study contributes in the existing literature of the medical importance of Hibiscus sabdariffa calyx with emphasis on the relevance of this extract in medical laboratory practice.


1. INTRODUCTION

Hibiscus sabdariffa also known as Roselleis a species of Hibiscus in the Malvaceae family. it is a flowering annual woody-based herb usually 2-2.5meters tall and widely cultivated in both tropical and subtropical regions of the world including Nigeria. The fruit and calyx of Roselle is reddish at maturation and dried calyx of Hibiscus sabdariffa is widely consumed as Zobo drink beverage in Nigeria due to it numerous health benefit as well as low degree of acute toxicity and high median lethal dose [1]. This plant has been known to add several health benefits to man for instance, Hibiscus sabdariffa have been reported to have aphrodisiac, diuretic activities, improve immunity [2] and red blood cell production [3]. In addition,  available medical literatures shows that various extract of this plant reduces cholesterol, Gurrola-Díaz, et al. [4] lipid, Kuriyan, et al. [5] blood viscosity [6] and blood pressure [7]. Furthermore, this plant have also been known to have anti-hypertension, Mohagheghi, et al. [8] antidiabetic, Mozaffari-Khosravi, et al. [9] antioxidant, Ochani and D'Mello [10]; Christian and Jackson [11] antipyretic, anticancer, antiseptic [12] and hepatoprotective [13] activities, the  main compounds found in calyx of Hibiscus sabdariffa are citric acid, malic acids, anthocyanins, flavonoids and glycosides [14] caffeic acid, polyphenolic acid, protocatechuic acid, catechin, gallocatechins [15]. The nutritional and medical importance of this plant is believed to be due to the present of these phytochemical compounds. Although the brilliant reddish coloration of methanolic extract of this plant may have a staining effect on thin blood smear in clinical laboratory practice but to our knowledge no research have reported the staining effect of extract of Hibiscus sabdariffa calyxon thin peripheral blood film. Peripheral blood film is a highly informative hematological tool for diagnosis and monitoring of disease conditions [16]. Thin blood film is a peripheral blood smear and it is a thin layer of blood smeared on a glass microscope slide. Peripheral thin blood smear is prepared from anticoagulated blood obtained from venipuncture or finger prick. Depending on the layer of blood smeared on the slide, blood smear could be thin (thin layer) or thick (thick layer) and blood smear are usually stained in such a way as to allow various blood cells to be visibly examined microscopically and thin blood film is usually examined to investigate hematological abnormalities. Examination of blood smear is also essential in the diagnosis and management of anemias. The staining and examination of blood smear is one of the oldest, most widely and frequently used procedure for clinical test in hematology laboratory globally. As it has been stated already, Thin blood smear is usually stained with dyes to allow easy identification of blood cells and since its introduction in the late nineteenth century, some elements of blood staining procedure have changed and/or modified. The improvements in modern medical laboratory technology have enhanced the availability of good quality stains but, the effect and ability of Hibiscus sabdariffa extract in staining blood film is still not well known and documented, this study therefore aims to examine the staining effect of methanolic extract of this plant’s calyx on peripheral blood films in other to get more surrogates for hematological stains.

2. MATERIALS AND METHOD

This study was carry out at Federal Medical Center Yola, Adamawa state in Northeastern Nigeria. Dried calyx of Hibiscus sabdariffa was obtain commercially from local market in Yola. The calyces were pulverized to fine powder and 10g of the powder was soaked in 50ml of absolute methanol for 12hours, the mixture was further filtered using filter paper (Whatman No. 1) to obtain methanolic extract. The PH of the extract was determined using PH meter.  The methanolic extract was used to stain thin peripheral blood smear. The stained smear was further examined microscopically with Olympus light microscope and the microscopic appearance of red cell stained with methanolic extract of Hibiscus sabdariffa calyx was compared with the red cell stained with Field and Leishman stain respectively using standard methods [17]. Peripheral blood smear was prepared using slide method [17]. The microscopic appearance of the red cells presented in this study was snapped from the X100 objective lens of the light microscope.

3. PROCEDURE FOR STAINING WITH METHANOLIC EXTRACT HIBISCUS SABDARIFFA CALYX

  1. Thin blood smear was prepared using the slide method [17].
  2. The thin blood smear was allowed to air dried.
  3. The thin blood smear was further fixed in absolute methanol for 3seconds and allowed to air dried.
  4. The dried thin blood smear was then flooded with methanolic extract of Hibiscus sabdariffa calyx.
  5. The flooded smear was allowed to stand for 20minutes.
  6. The smear was rinsed with four drops of distilled water and allow to air dry.
  7. And the stained smear was examined microscopically.

4. RESULTS

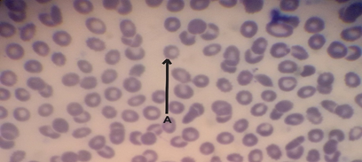
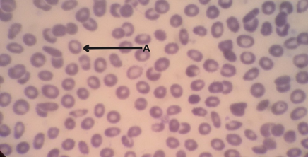
After adding 10g of Hibiscus sabdariffa calyx powder to 50ml of absolute methanol, a brilliant reddish colored solution was obtained. The pH test of the solution shows that methanolic extract of Hibiscus sabdariffa calyxis acidic with pH of 1. The microscopic appearance of stained red blood cell was examined and shown as figures in the main text. Figure 1 shows the microscopic appearance of red blood prior to staining while figure 2 shows microscopic appearance of red blood cell after being stained with methanolic extract of Hibiscus sabdariffa calyx. Figure 3 and 4 shows the microscopic appearance of red blood cell after being stained with Field and Leishman stain respectively.

The methanolic extract of Hibiscus sabdariffa calyx had a unique poor staining effect on thin blood smear and after staining thin blood smear with methanolic extract of Hibiscus sabdariffa calyx, it was observed that, the extract impacted a poor pale pinkish-orange coloration on the red blood cell with relatively pseudo large central pallor microscopically. While the staining of thin peripheral blood smear with Field stain and Leishman stain produces a dark pink coloration on the red cell with normal pallor as in figure 2, 3 and 4.  

Fig-1. Unstained thin blood film showing arrow on unstained red blood cell (B)

Source: Hematology Laboratory Federal Medical Center Yola, Nigeria

Figure-2. Thin blood film stained with methanolic extract of Hibiscus sabdariffa calyx showing arrow on stained red cell with pseudo large pallor.

Source: Hematology Laboratory Federal Medical Center Yola, Nigeria.

Figure-3. Thin blood film stained with Field Stain showing arrow on stained red cell (A)

Source: Hematology Laboratory Federal Medical Center Yola, Nigeria.

Figure-4. Thin blood film stained with Leishman Stain showing arrow on stained red cell (A)

Source: Hematology Laboratory Federal Medical Center Yola, Nigeria.          

5. DISCUSSION

The staining effect of raw methanolic extract of Hibiscus sabdariffa calyx have been examine. In this study it was observed that the methanolic extract of this plant’s calyx had a low pH of 1. This implies that, this plant’s calyx extract is acidic and this acidic nature of methanolic extract conforms with the earlier report by Ali BH et. al., and YangMY et. al., who showed that extract of Hibiscus sabdariffa calyx contains several acidic compounds such as: citric acid, malic acids, Ali, et al. [14] caffeic acid, polyphenolic acid, protocatechuic acid [15] and the low pH and staining character of methanolic extract of Hibiscus sabdariffa calyx is believed to be due to the presence of these acidic compounds. Although there are a number of causes of variation in staining effect of various substances but, the poor pale pinkish-orange coloration produce on red blood cell by methanolic extract of this plant’s calyx is believed to be due to high acidic content of this extract since matured red blood cell content is mostly hemoglobin and hemoglobin usually picks up acidophilic component of stains [17] because a basic substance do bind to anionic molecules and acidic substance usually bind to cationic molecules on cells. Thus, the presence of basic grouping on the hemoglobin molecule resulted in its affinity for acidic compounds and consequence staining by acidic extract of Hibiscus sabdariffa calyx as observed in this study.

However, the central parlor of the red cell stained with methanolic extract of Hibiscus sabdariffa calyx was larger than that stained with Field and Lieshman stain this is because all the hemoglobin in the red cell could not pick the plant’s extract unlike other conventional stains and the reason for this is not well understood but the biochemical character of the hemoglobin molecule is premised on the fact that, the mechanism by which certain cellular component will stained a particular dye depends on complex differences in binding ability as well as the nature of acidic and basic chemicals so that acidic compounds in this extract can produce a unique effect on thin blood film in the present of hemoglobin as shown in figure 2 compare to figure 3 and 4.

Nevertheless, the methanolic extract of this plant could not produce a good staining effect on nucleated blood cells and the reason for this observed different effect is not yet clear, but it is believed that, lack of basic substances in methanolic extract of Hibiscus sabdariffa calyx could be responsible for lack of staining effect on nucleated peripheral blood cells because acidic substances do have a poor staining effect on cell nucleus [17] and an alkaline PH usually accentuates the azure (oxidized basic) component of stains at the expense of acidic components and vice versa and a good staining effect on blood cell is obtained when there is a molar equilibrium between acidic and basic components of stains and this equilibrium was absent in methanolic extract of Hibiscus sabdariffa calyx but presence in Leishman and Field stain hence, this extract could not stain nucleated blood cells unlike other conventional routine hematological stains.

6. CONCLUSION

From this present study, it was observed that, raw methanolic extract of Hibiscus sabdariffa calyx has acidic PH of 1.  The methanolic extract of Hibiscus sabdariffa calyx had a poor staining effect and impacted a pale pinkish-orange coloration with pseudo large pallor on red blood cell in thin peripheral blood smear microscopically. However, this plant’s extract could not produce any staining effect on nucleated cells. More research to get modified concentration and a molar equilibrium of acidic and basic components in this extract is recommended in other to obtain a better cost effective surrogate for good hematological stains in the medical laboratory practice.

Funding: This study received no specific financial support.   
Competing Interests: The authors declare that they have no competing interests. 
Contributors/Acknowledgement: All authors contributed equally to the conception and design of the study.

REFERENCES

[1]          O. O. Ndu, C. S. Nworu, C. O. Ehiemere, N. C. Ndukwe, and I. S. Ochiogu, "Herb–drug interaction between the extract of hibiscus sabdariffa L. and hydrochlorothiazide in experimental animals," Journal of Medicinal Food, vol. 14, pp. 640-644, 2011.Available at: https://doi.org/10.1089/jmf.2010.0117.

[2]          A. S. Jatawa, R. Paul, and A. Tiwari, "Indian Medicinal Plants: A rich source of natural immuno modulator," International Journal of Pharmacology, vol. 7, pp. 198-205, 2011.

[3]          A. M. Lubega, G. S. Bbosa, N. Musisi, J. Erume, and J. Ogwal-Okeng, "Effect of the total crude extracts of hibiscus sabdariffa on the immune system in the Wistar Albino rats," African Journal of Pharmacy and Pharmacology, vol. 7, pp. 1942-1949, 2013.Available at: https://doi.org/10.5897/ajpp12.478.

[4]          C. Gurrola-Díaz, P. García-López, S. Sánchez-Enríquez, R. Troyo-Sanromán, I. Andrade-González, and J. Gómez-Leyva, "Effects of Hibiscus sabdariffa extract powder and preventive treatment (diet) on the lipid profiles of patients with metabolic syndrome (MeSy)," Phytomedicine, vol. 17, pp. 500-505, 2010.Available at: https://doi.org/10.1016/j.phymed.2009.10.014.

[5]          R. Kuriyan, D. R. Kumar, and A. V. Kurpad, "An evaluation of the hypolipidemic effect of an extract of hibiscus sabdariffa leaves in hyperlipidemic Indians: a double blind, placebo controlled trial," BMC Complementary and Alternative Medicine, vol. 10, pp. 1-8, 2010.

[6]          K. Christian, M. Nair, and J. Jackson, "Antioxidant and cyclooxygenase inhibitory activity of sorrel (Hibiscus Sabdariffa)," Journal of Food Composition and Analysis, vol. 19, pp. 778-783, 2006.Available at: https://doi.org/10.1016/j.jfca.2006.04.004.

[7]          P. Onyenekwe, E. Ajani, D. Ameh, and K. Gamaniel, "Antihypertensive effect of roselle (Hibiscus Sabdariffa) calyx infusion in spontaneously hypertensive rats and a comparison of its toxicity with that in Wistar rats," Cell Biochemistry and Function: Cellular Biochemistry and its Modulation by Active Agents or Disease, vol. 17, pp. 199-206, 1999.Available at: https://doi.org/10.1002/(sici)1099-0844(199909)17:3<199::aid-cbf829>3.3.co;2-u.

[8]          A. Mohagheghi, S. Maghsoud, P. Khashayar, and M. Ghazi-Khansari, "The effect of hibiscus sabdariffa on lipid profile, creatinine, and serum electrolytes: A randomized clinical trial," Gastroenterol, vol. 53, pp. 50-14, 2011.

[9]          H. Mozaffari-Khosravi, B.-A. Jalali-Khanabadi, M. Afkhami-Ardekani, and F. Fatehi, "Effects of sour tea (Hibiscus sabdariffa) on lipid profile and lipoproteins in patients with type II diabetes," The Journal of Alternative and Complementary Medicine, vol. 15, pp. 899-903, 2009.Available at: https://doi.org/10.1089/acm.2008.0540.

[10]        P. C. Ochani and D'Mello, "Antioxidant and antihyperlipidemic activity of Hibiscus sabdariffa Linn. leaves and calyces extracts in rats," Indian Journal of Experimental Biology, vol. 47, pp. 276-282, 2009.

[11]        K. R. Christian and J. C. Jackson, "Changes in total phenolic and monomeric anthocyanin composition and antioxidant activity of three varieties of sorrel (Hibiscus sabdariffa) during maturity," Journal of Food Composition and Analysis, vol. 22, pp. 663–667, 2009.Available at: https://doi.org/10.1016/j.jfca.2009.05.007.

[12]        C. U. Emelike and D. V. Dapper, "Effect of oral administration of aqueous extract of hibiscus sabdariffa on some hematological parameters of wistar Albino rats," Journal of Medical and Dental Sciences, vol. 9, pp. 31-34, 2013.Available at: https://doi.org/10.9790/0853-0913134.

[13]        P. E. Oshua, C. Y. Ukegbu, C. Eze, C. C. Nkwocha, J. O. Okafor, O. Amaechi, F. O. Nduka, V. Ozougwu, J. O. Eyenike, and N. E. Ugochukwu, "Biochemical effects of the aqueous extract of hibiscus sabdariffa on liver marker enzymes and lipid profiles in acetaminophen-challenged rats," Research Journal of Medicinal Plants, vol. 11, pp. 48-54, 2017.Available at: https://doi.org/10.3923/rjmp.2017.48.54.

[14]        B. H. Ali, A. I. Wabel, and G. Blunden, "Phytochemical, pharmacological and toxicological aspects of Hibiscus sabdariffa L: A review," Phytotherapy Research, vol. 19, pp. 369-375, 2005.

[15]        M.-Y. Yang, C.-H. Peng, K.-C. Chan, Y.-S. Yang, C.-N. Huang, and C.-J. Wang, "The hypolipidemic effect of hibiscus sabdariffa polyphenols via inhibiting lipogenesis and promoting hepatic lipid clearance," Journal of Agricultural and Food Chemistry, vol. 58, pp. 850-859, 2010.Available at: https://doi.org/10.1021/jf903209w.

[16]        A. Adewoyin, "Peripheral blood film-a review," Annals of Ibadan Postgraduate Medicine, vol. 12, pp. 71-79, 2014.

[17]        D. C. Tkachuk and J. V. Hirschmann, Approach to the microscopic evaluation of blood and bone marrow. In: Wintrobe Atlas of clinical haematology. Lippincott: Williams & Wilkins, 2007.

Views and opinions expressed in this article are the views and opinions of the author(s), Journal of Diseases shall not be responsible or answerable for any loss, damage or liability etc. caused in relation to/arising out of the use of the content.